top of page
Starting August 1, 2024, Quickarrays, Inc. will be providing all products and services in place of Pantomics Inc.
SERVICES
CUSTOM TMA
ROUTINE PATHOLOGY
IHC / IMMUNOFLUORESCENCE
ISH / FISH
CONTRACTED SERVICES
PRIMARY IHC ANTIBODIES
PATHOLOGY FIELD
Hermatopathology
DETECTION SYSTEMS
ANCILLARIES
CONTROL TMA
BRC964
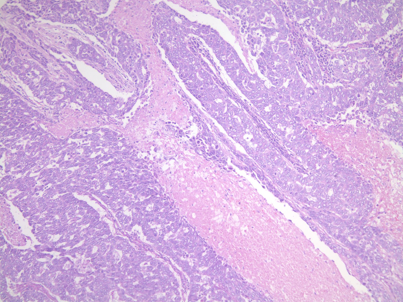
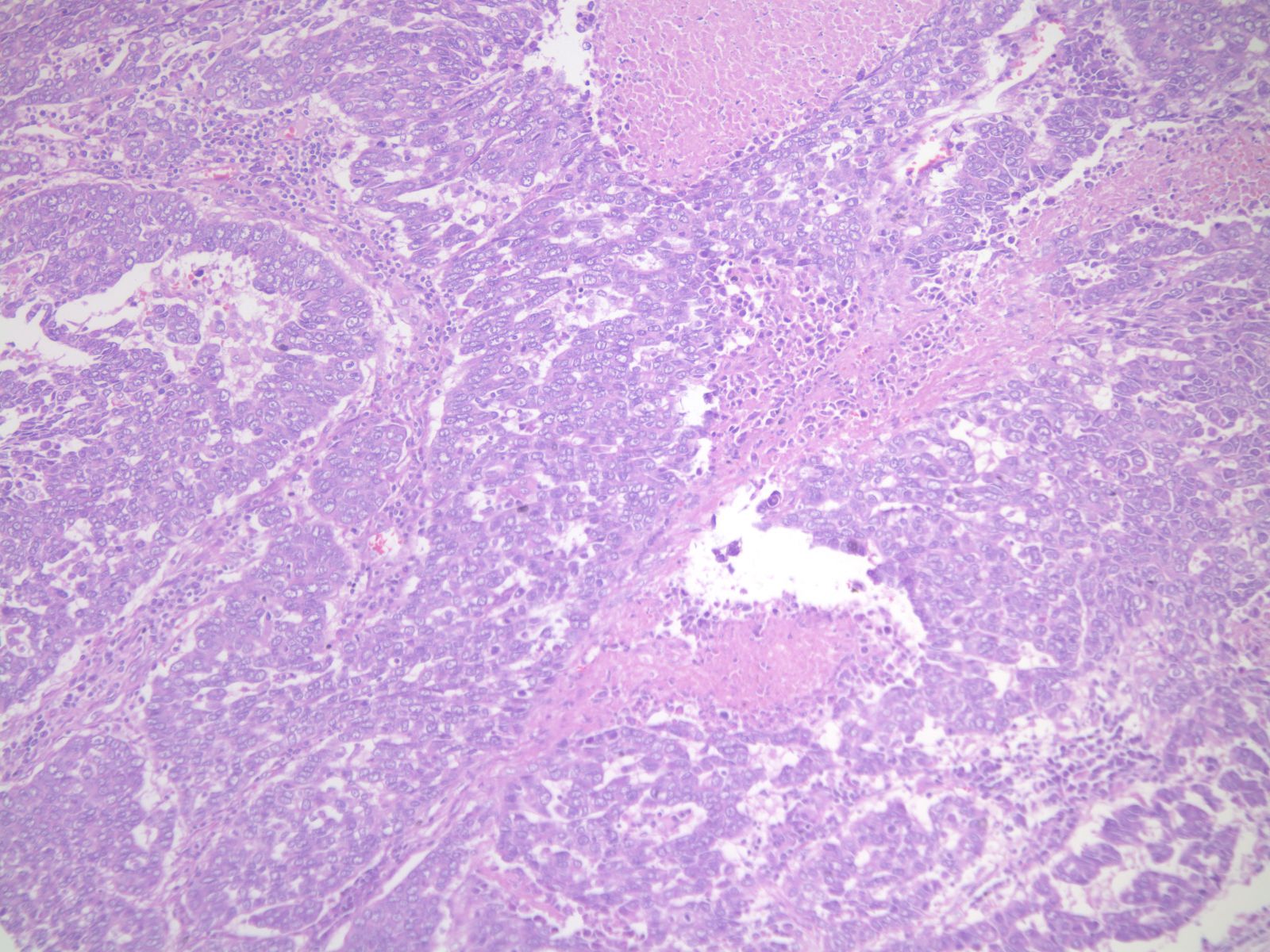
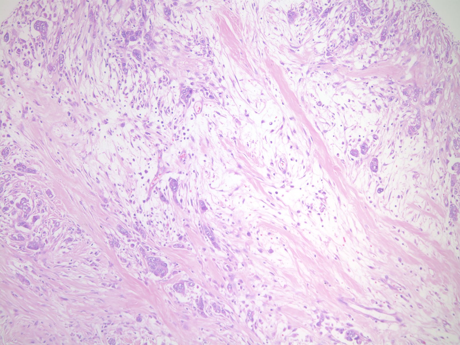
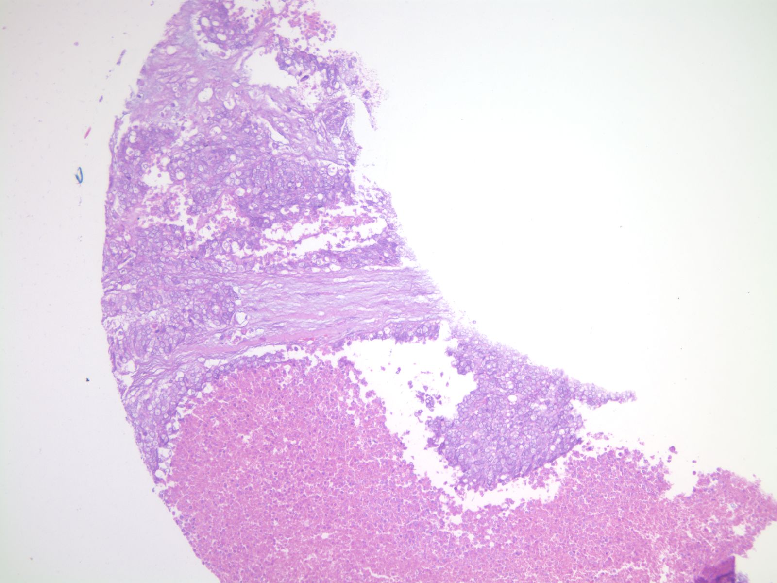
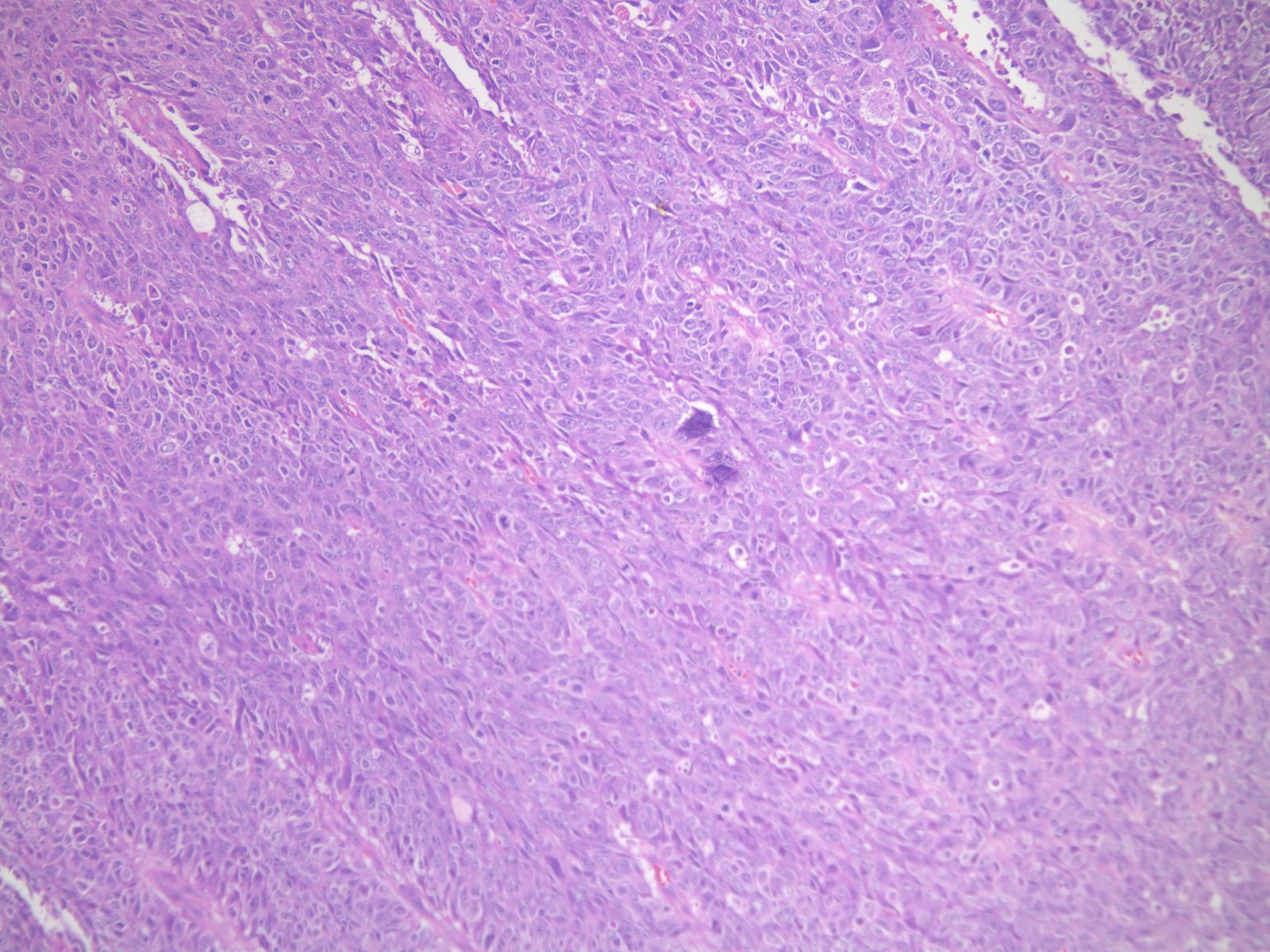
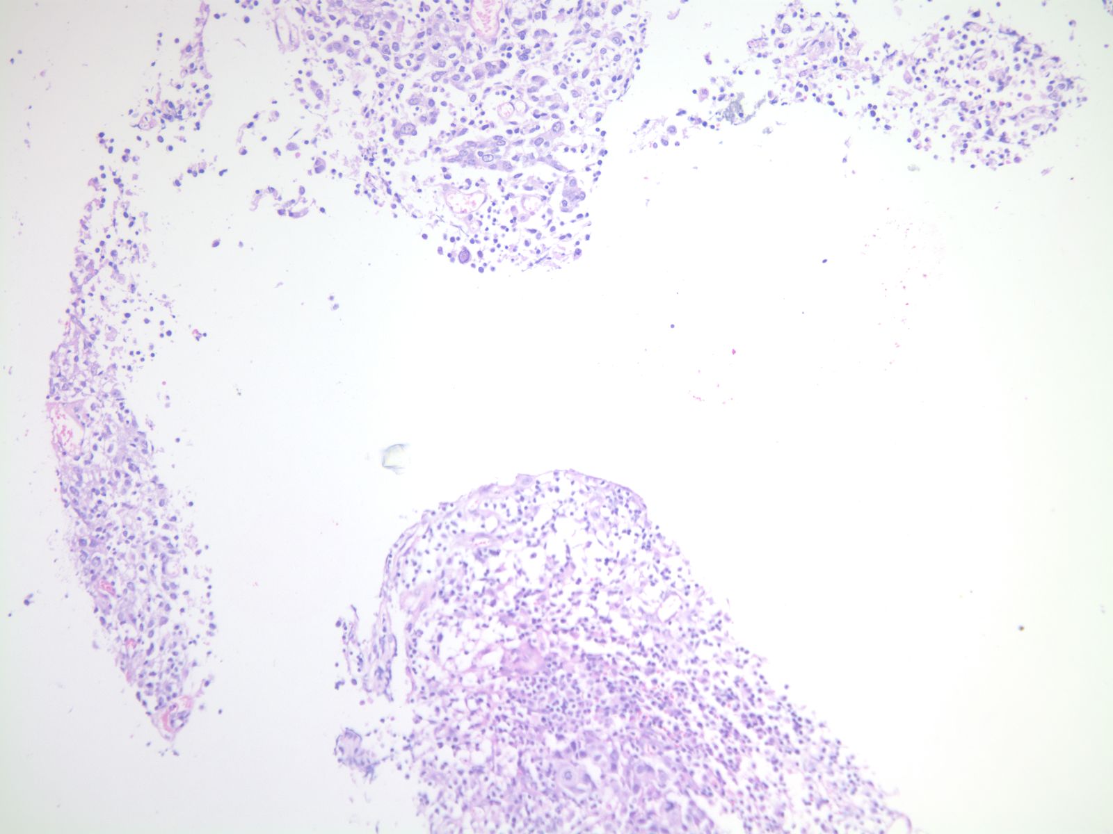
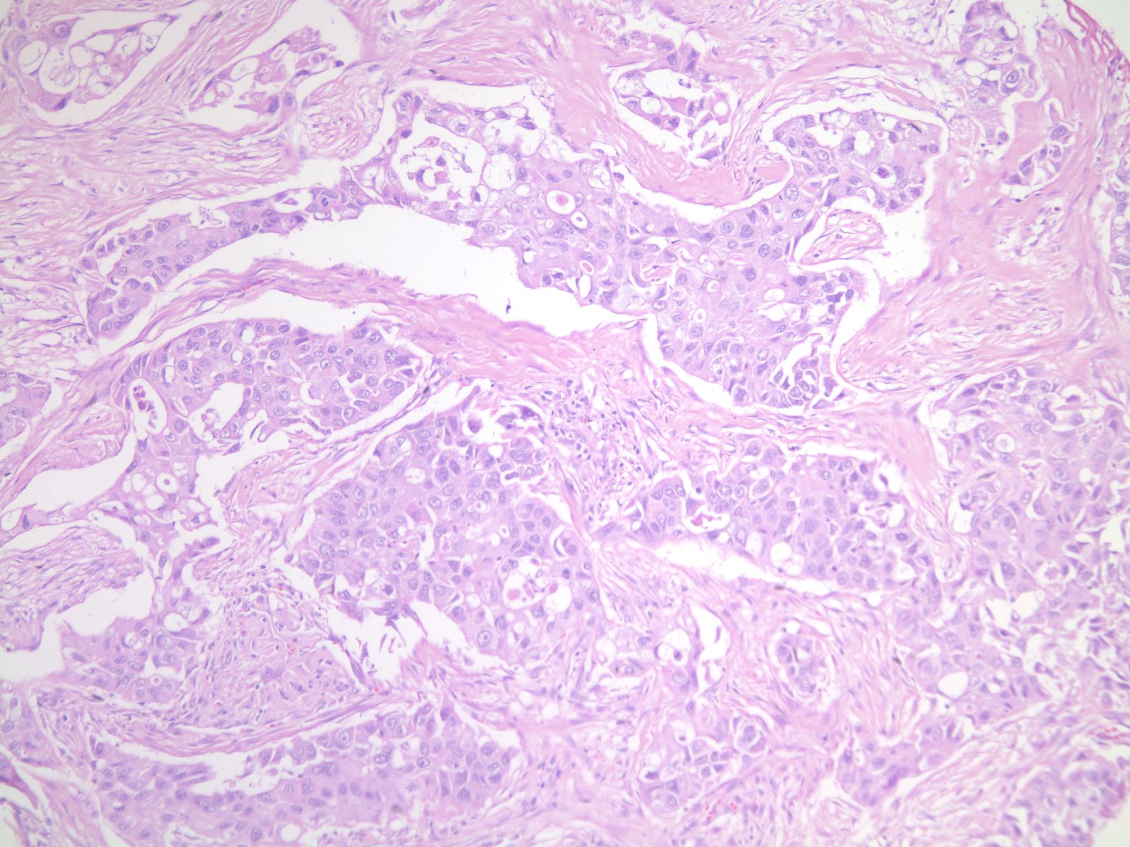
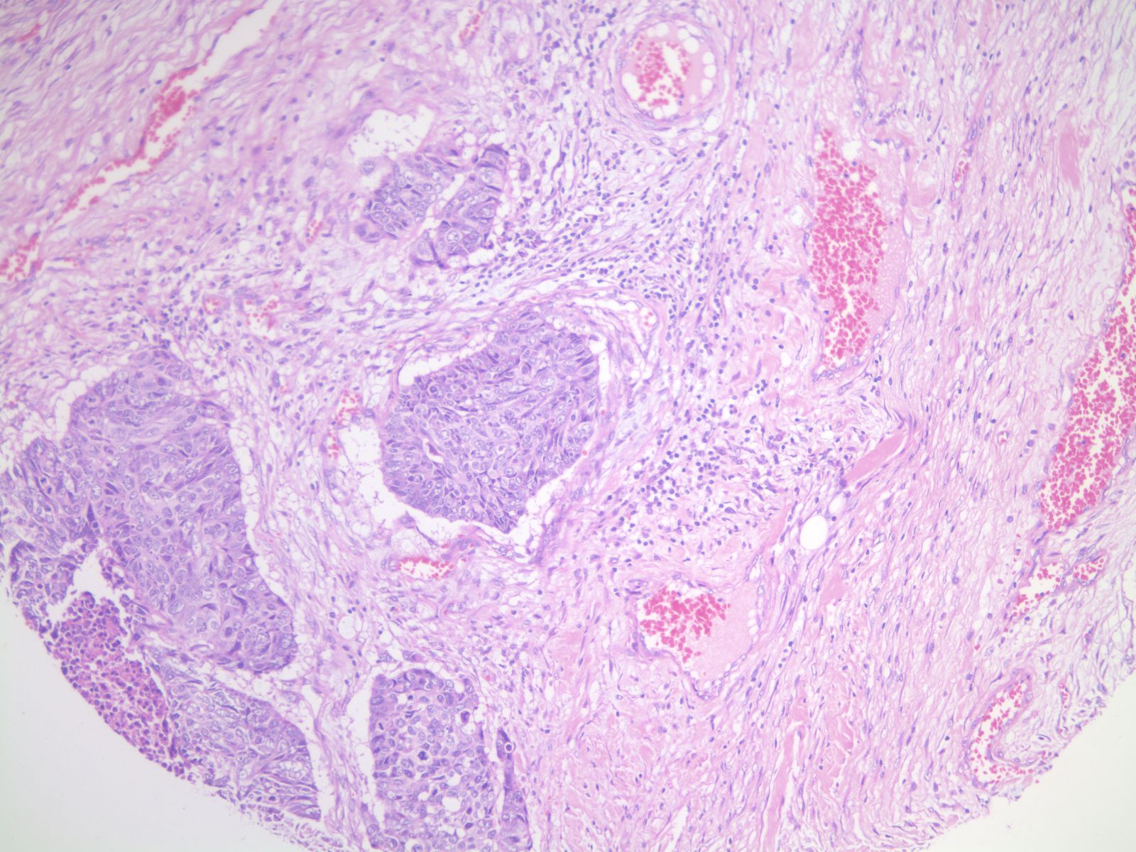
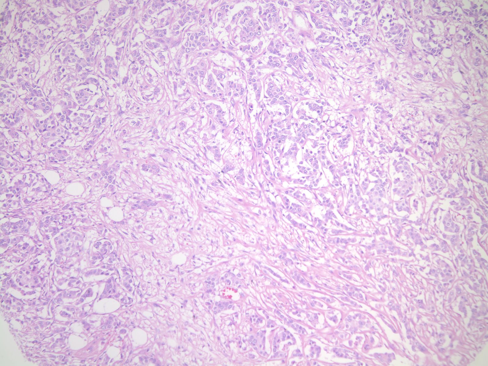
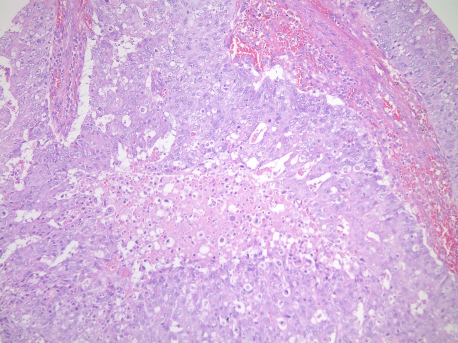
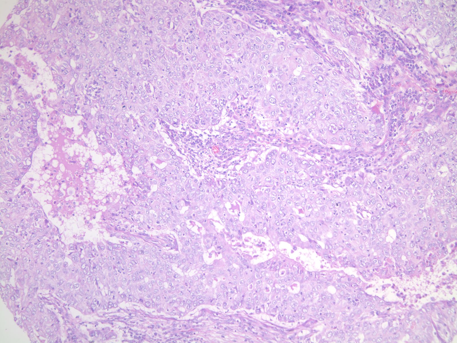
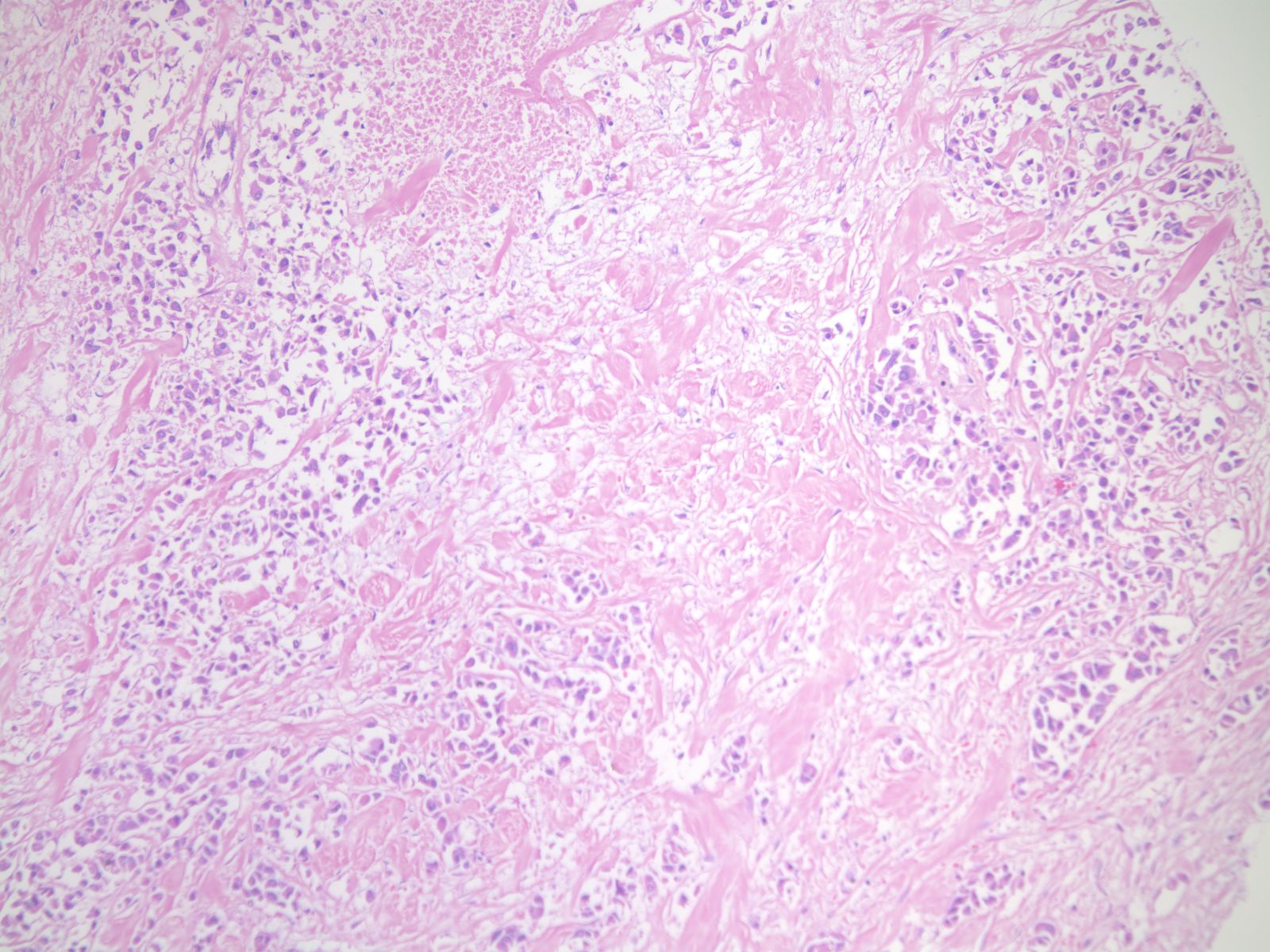
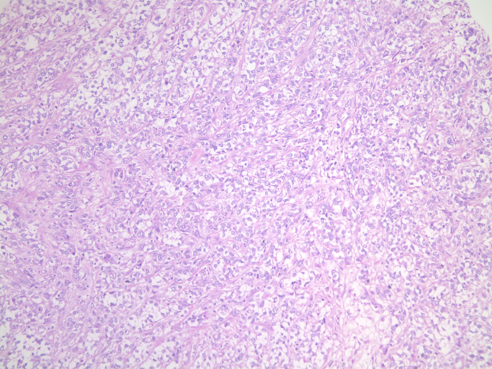
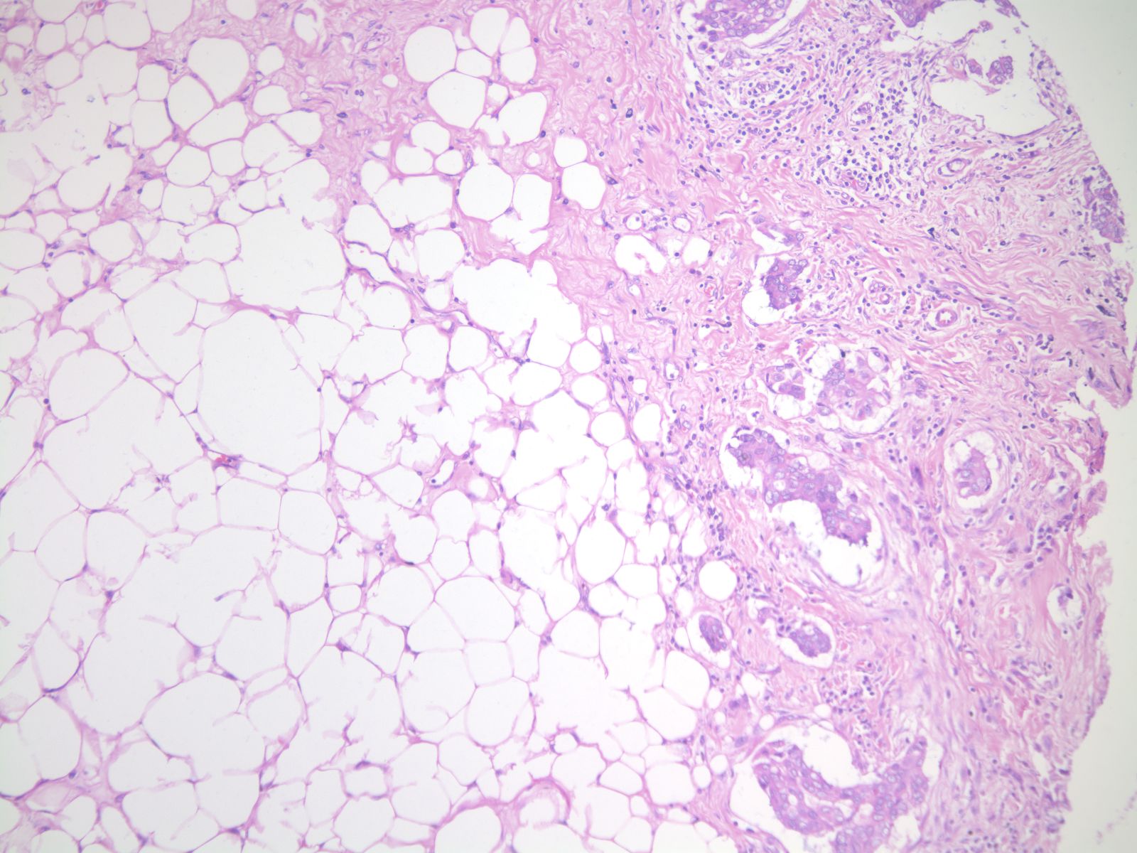
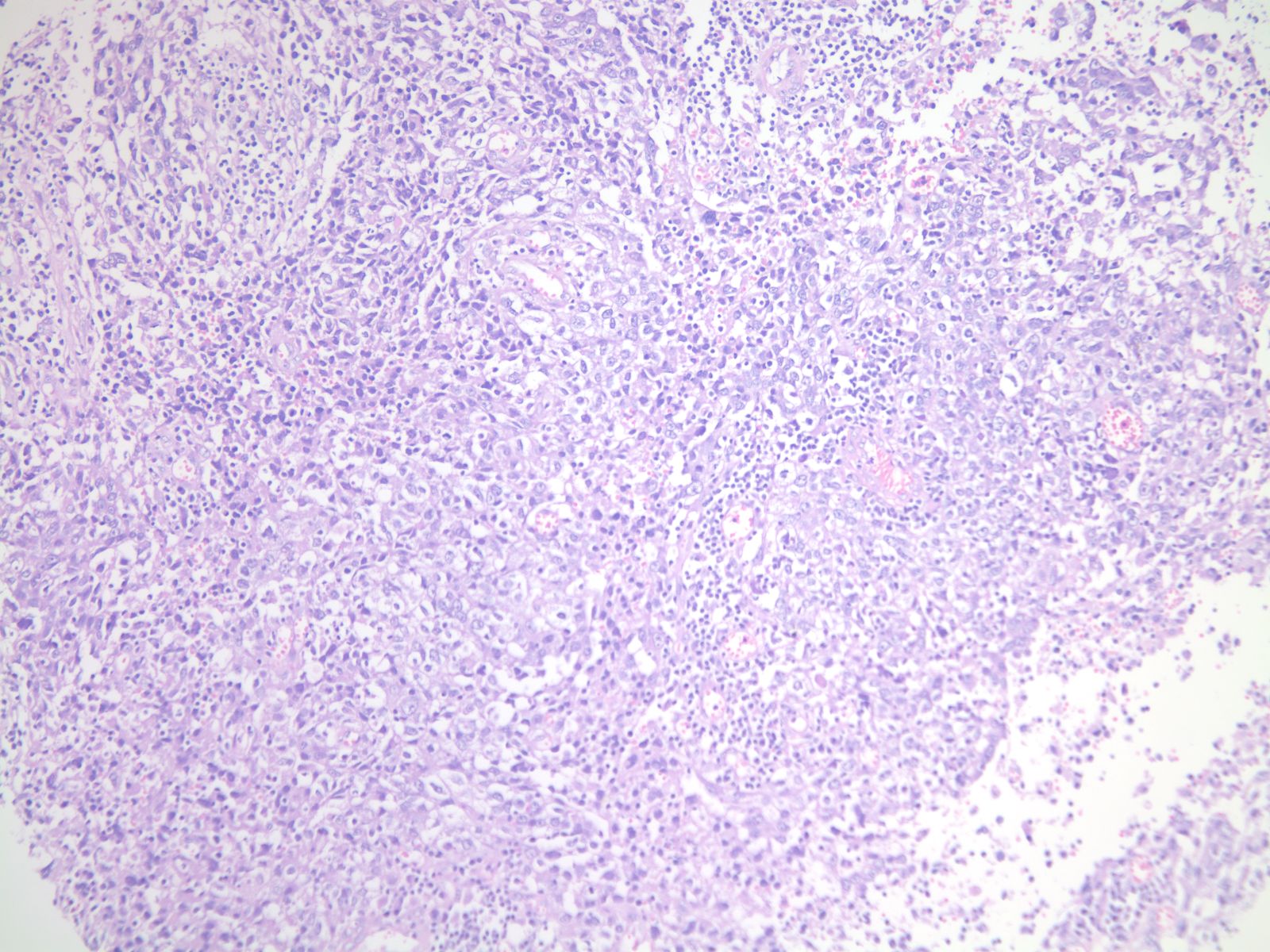
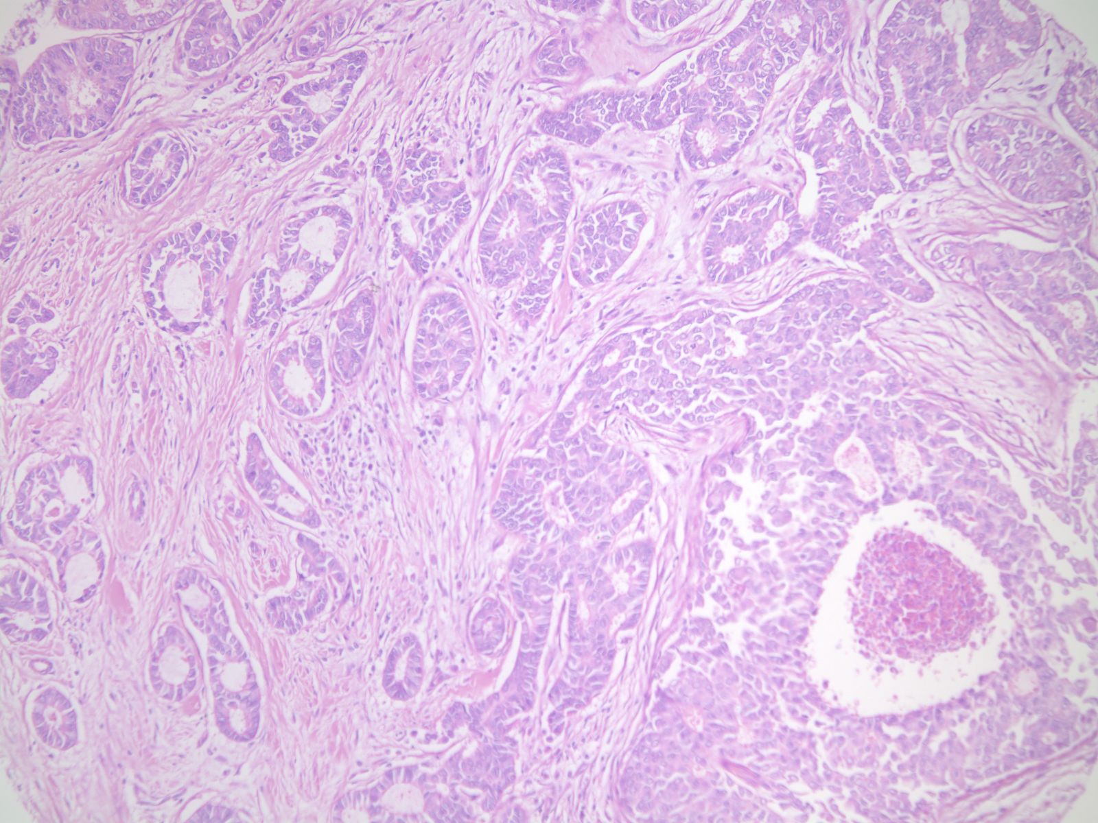
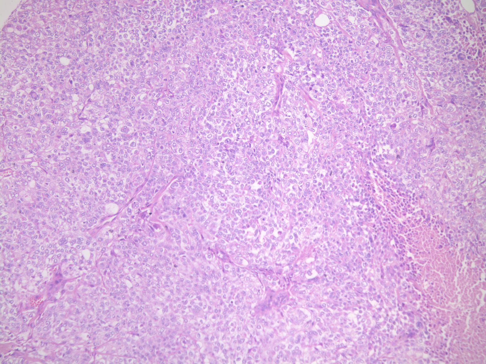
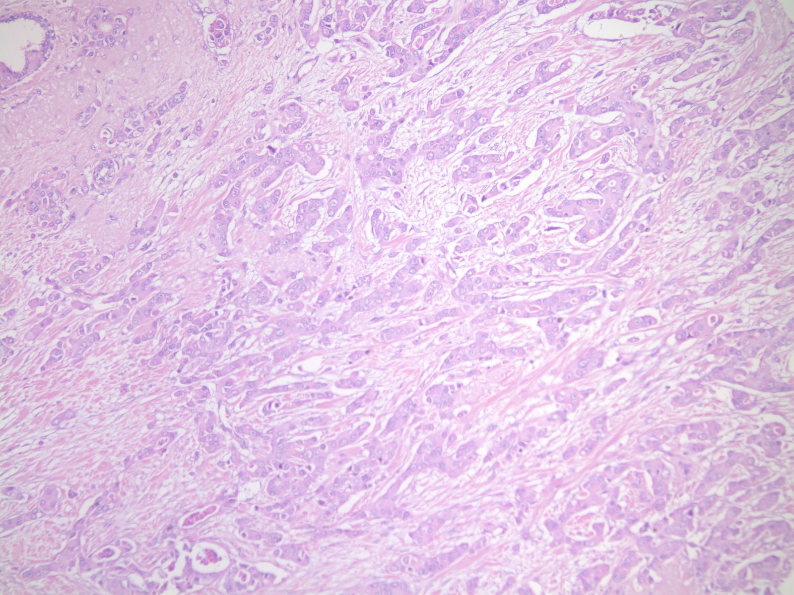
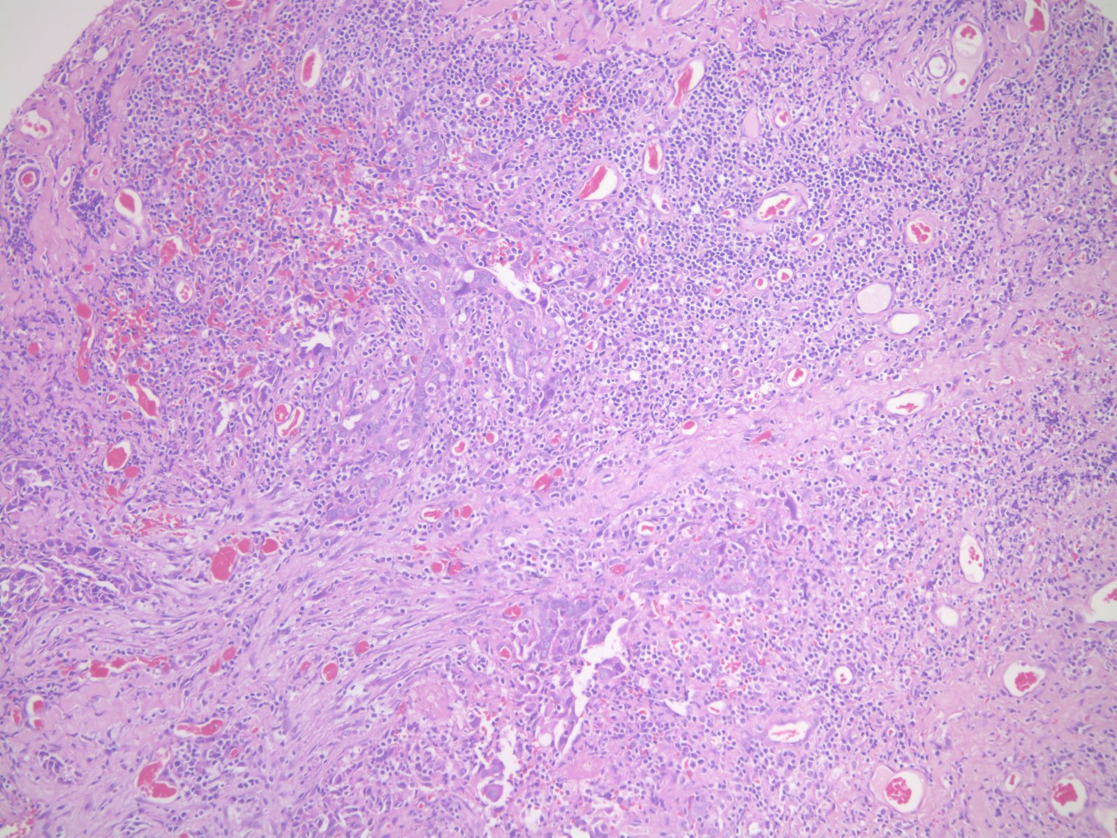
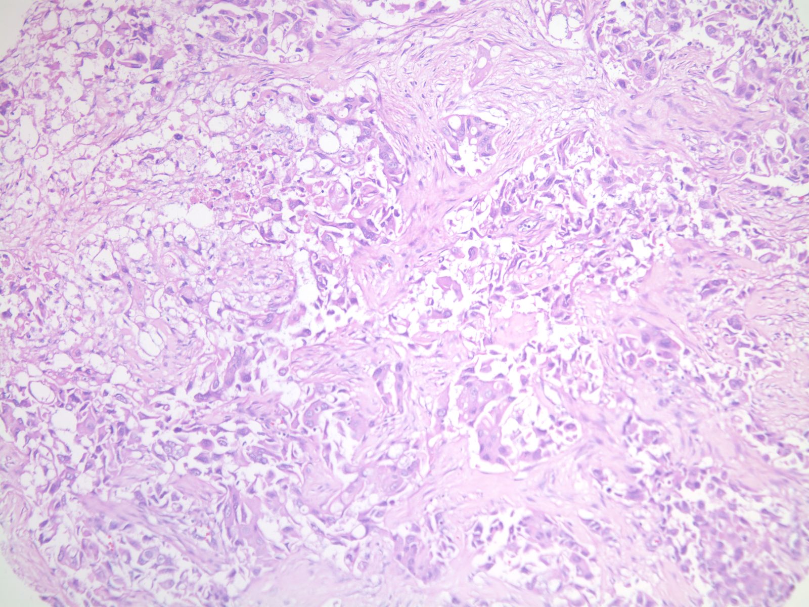
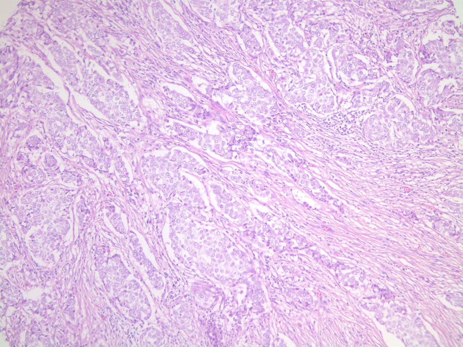
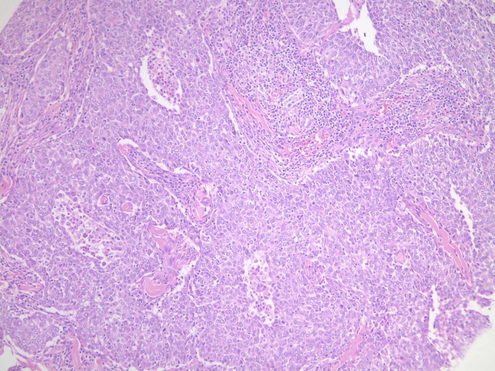
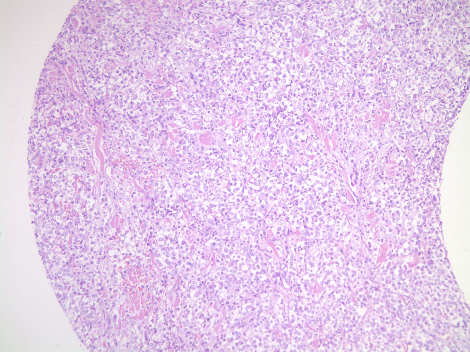
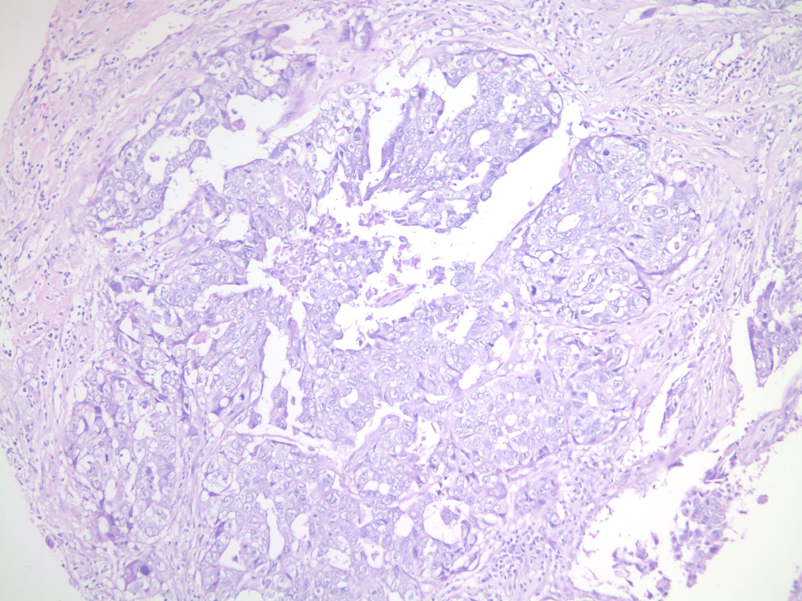
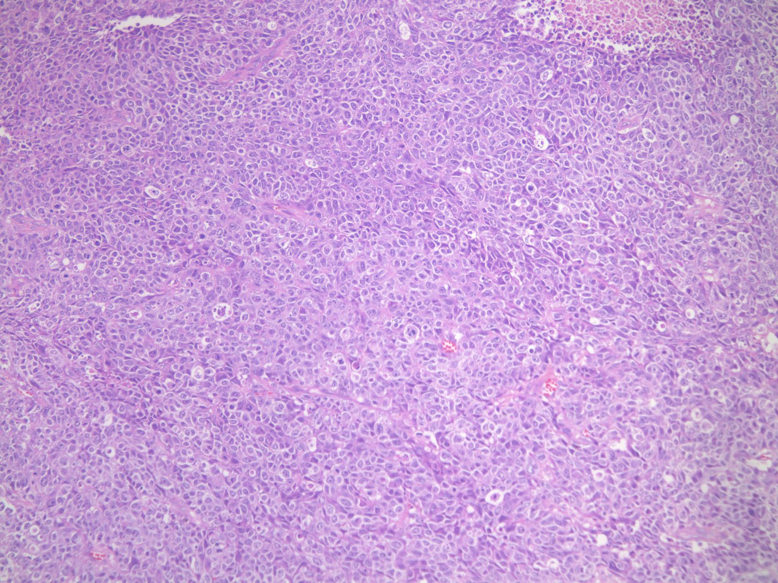
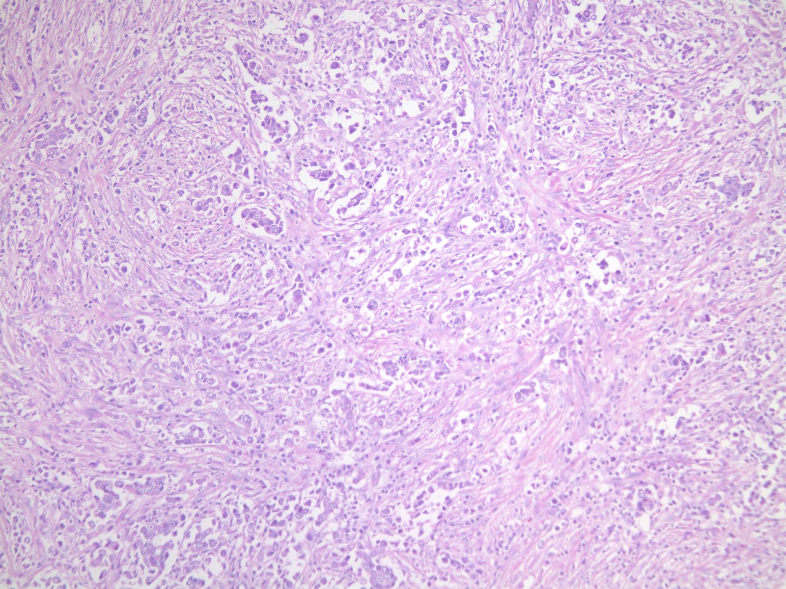
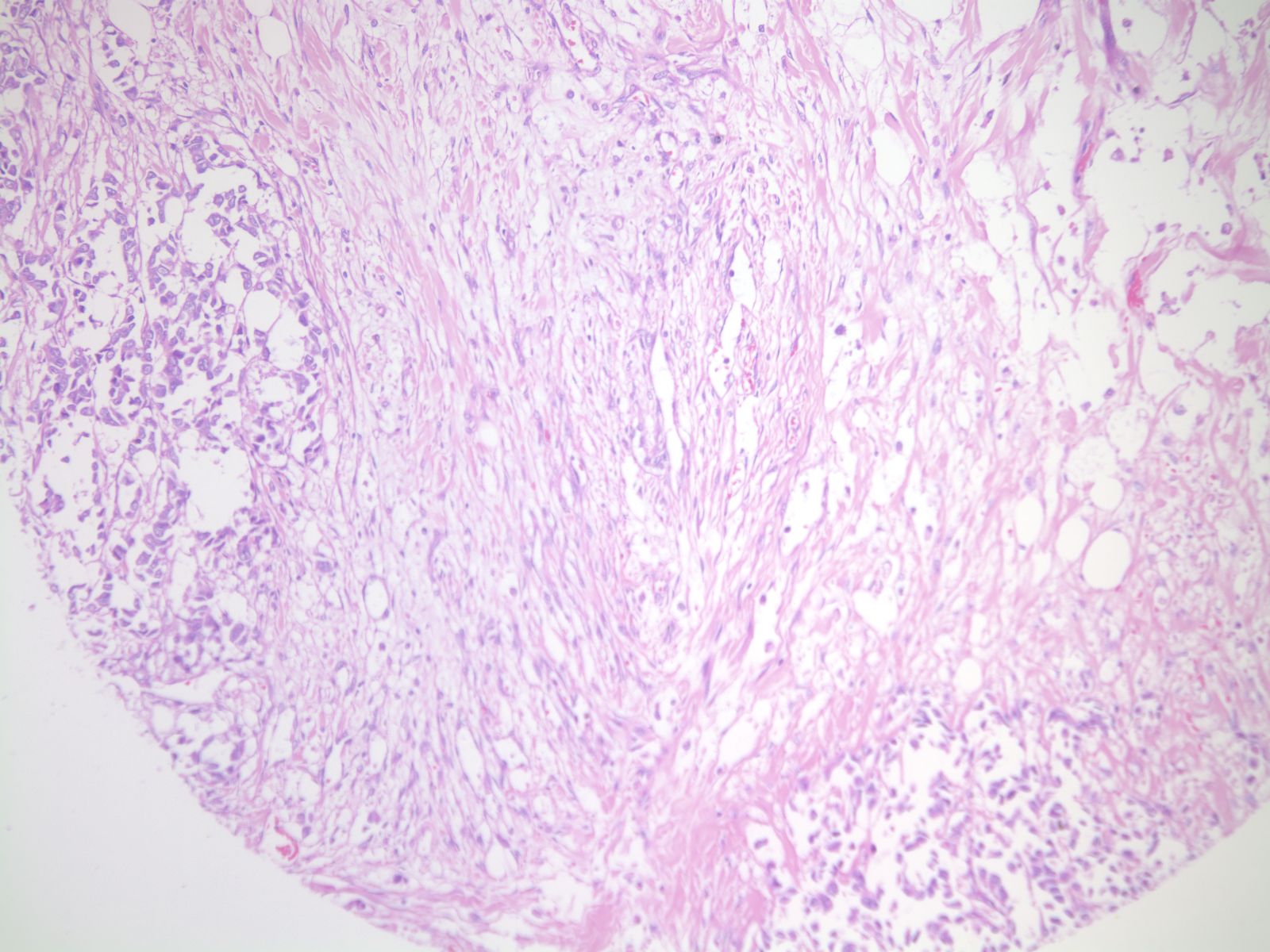
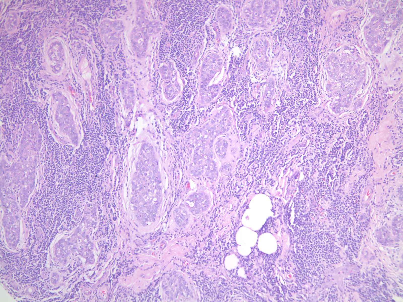
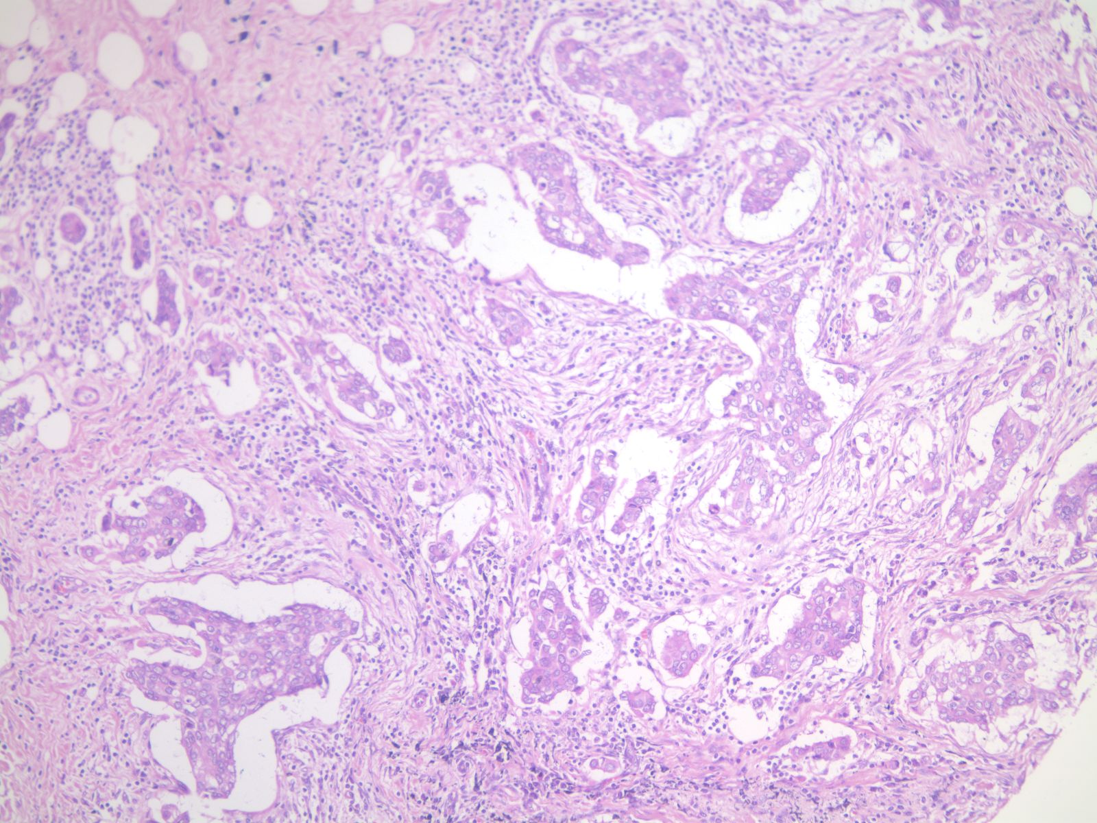
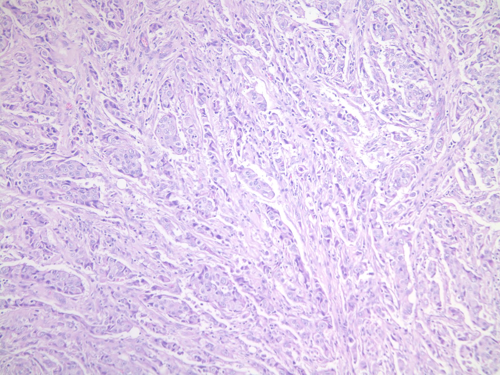
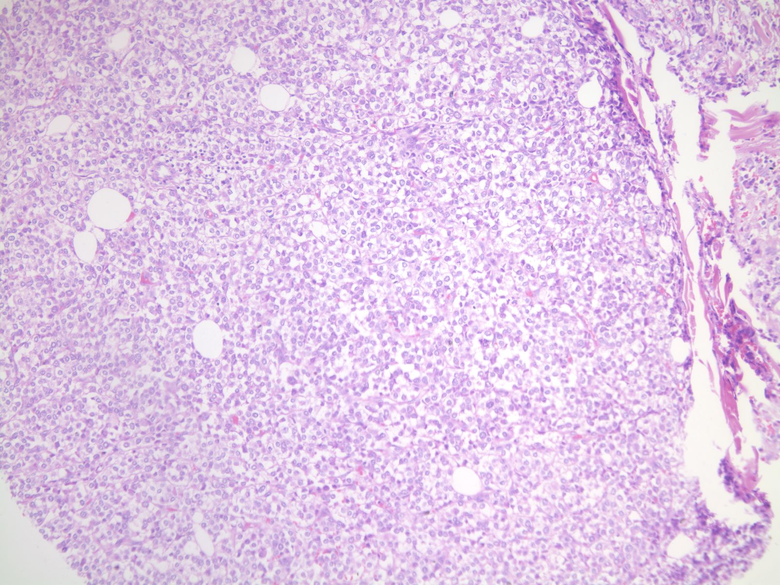
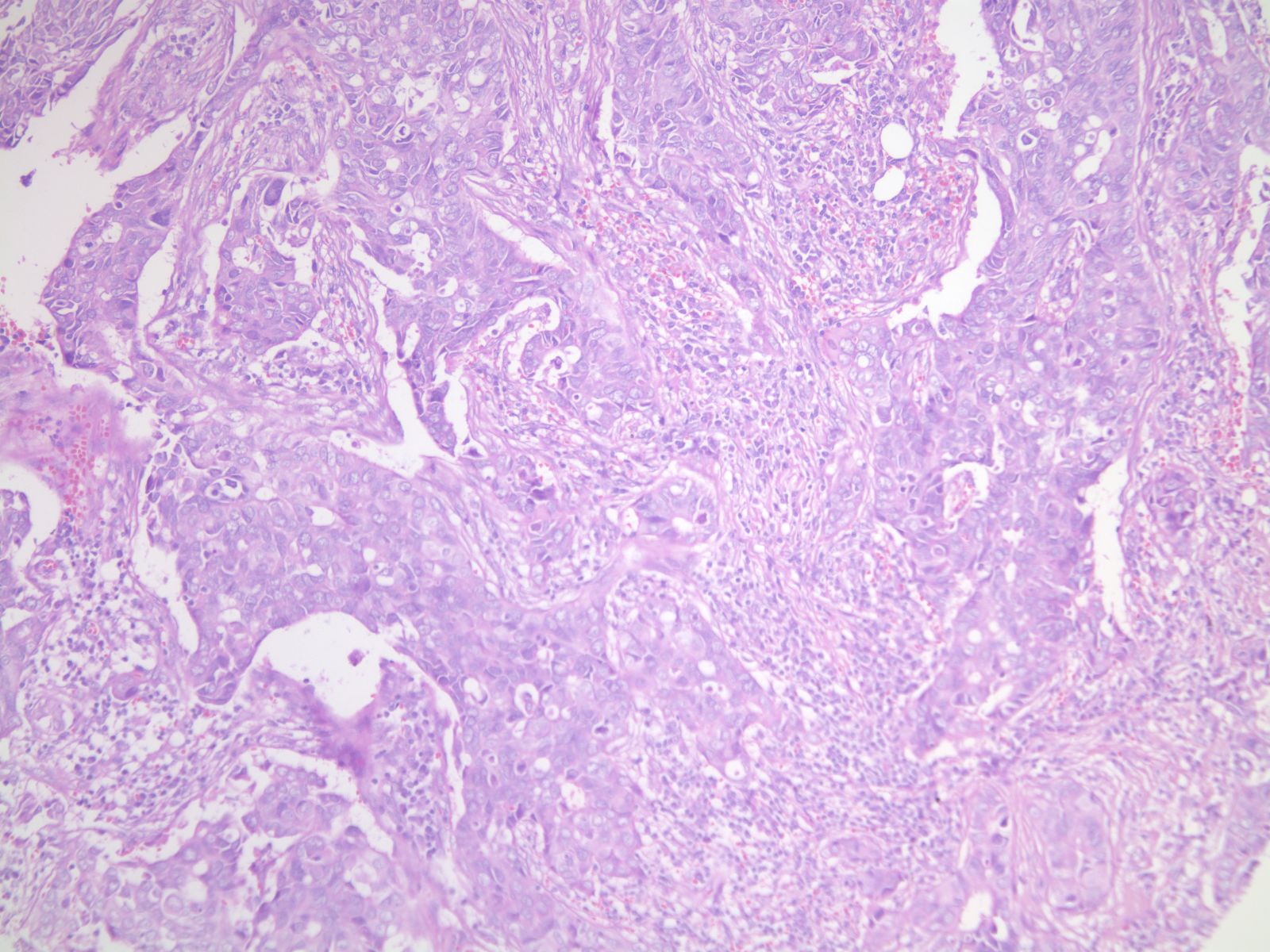
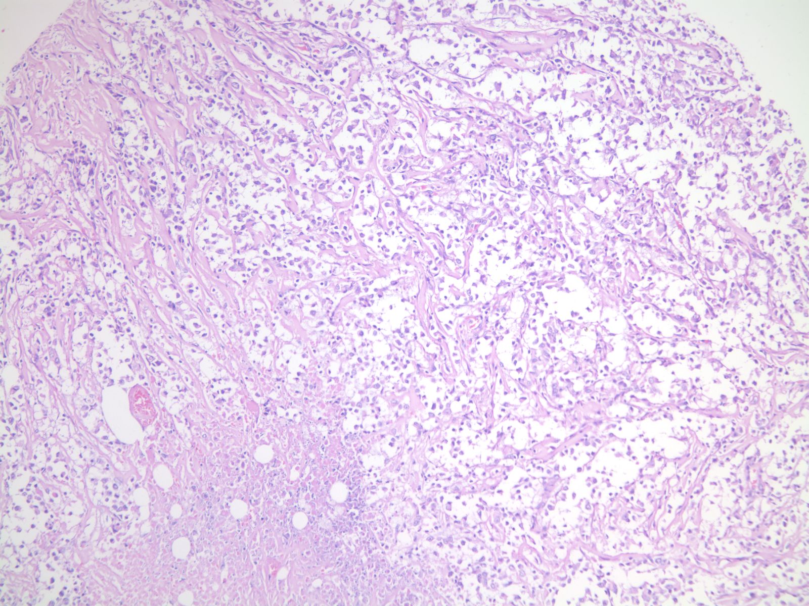
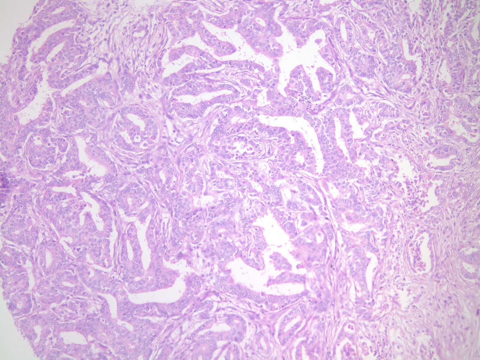
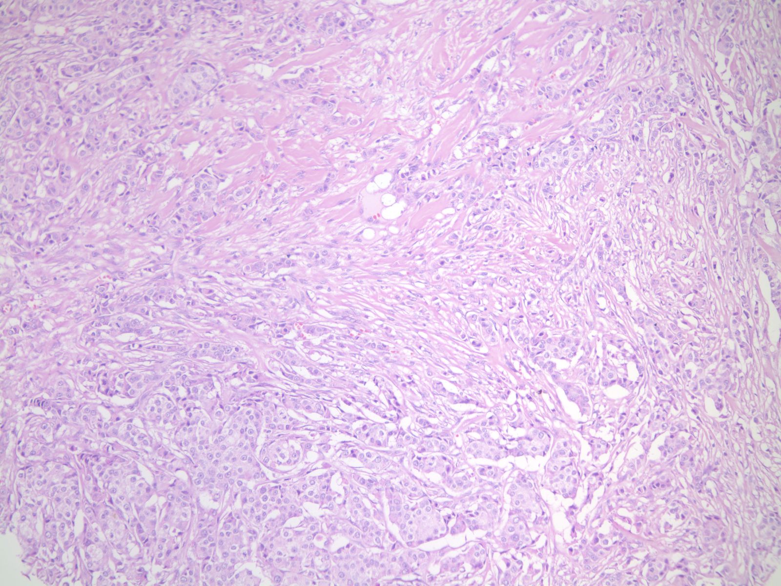
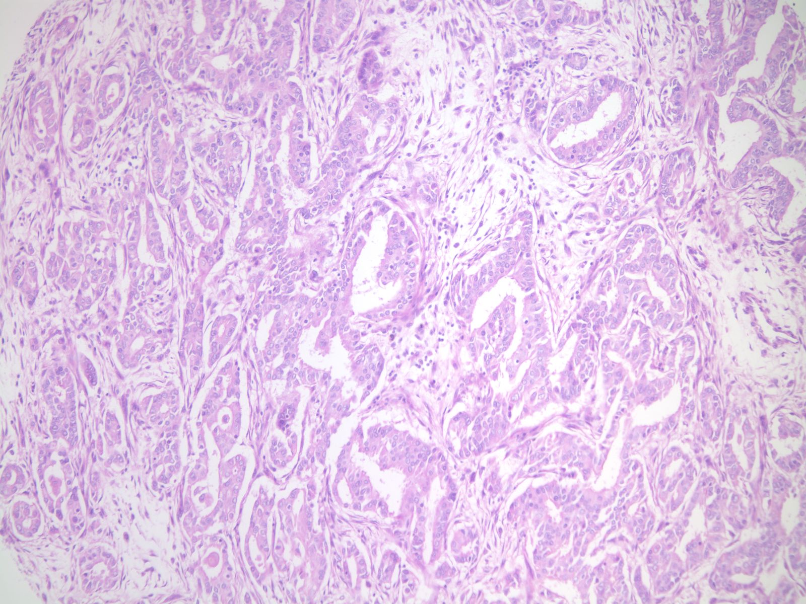
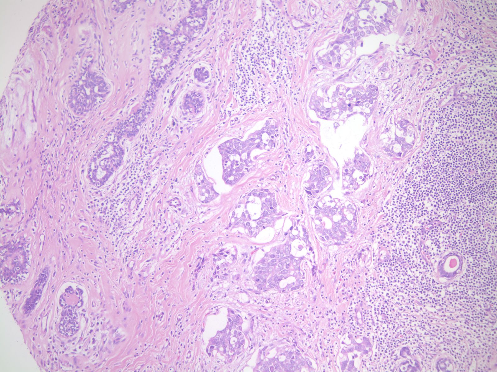
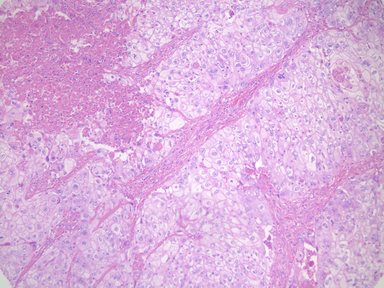
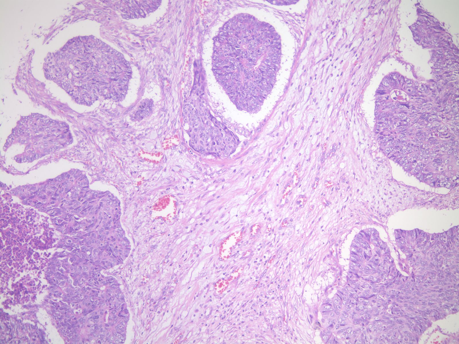
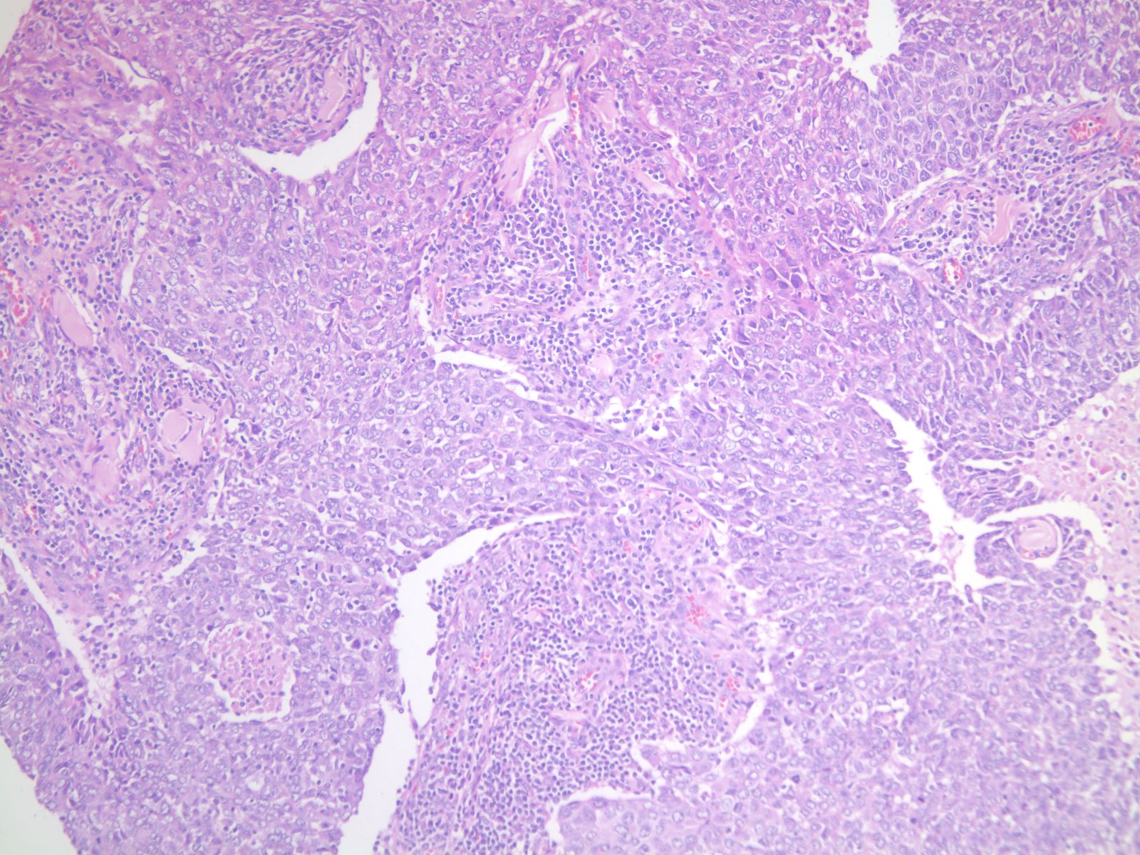
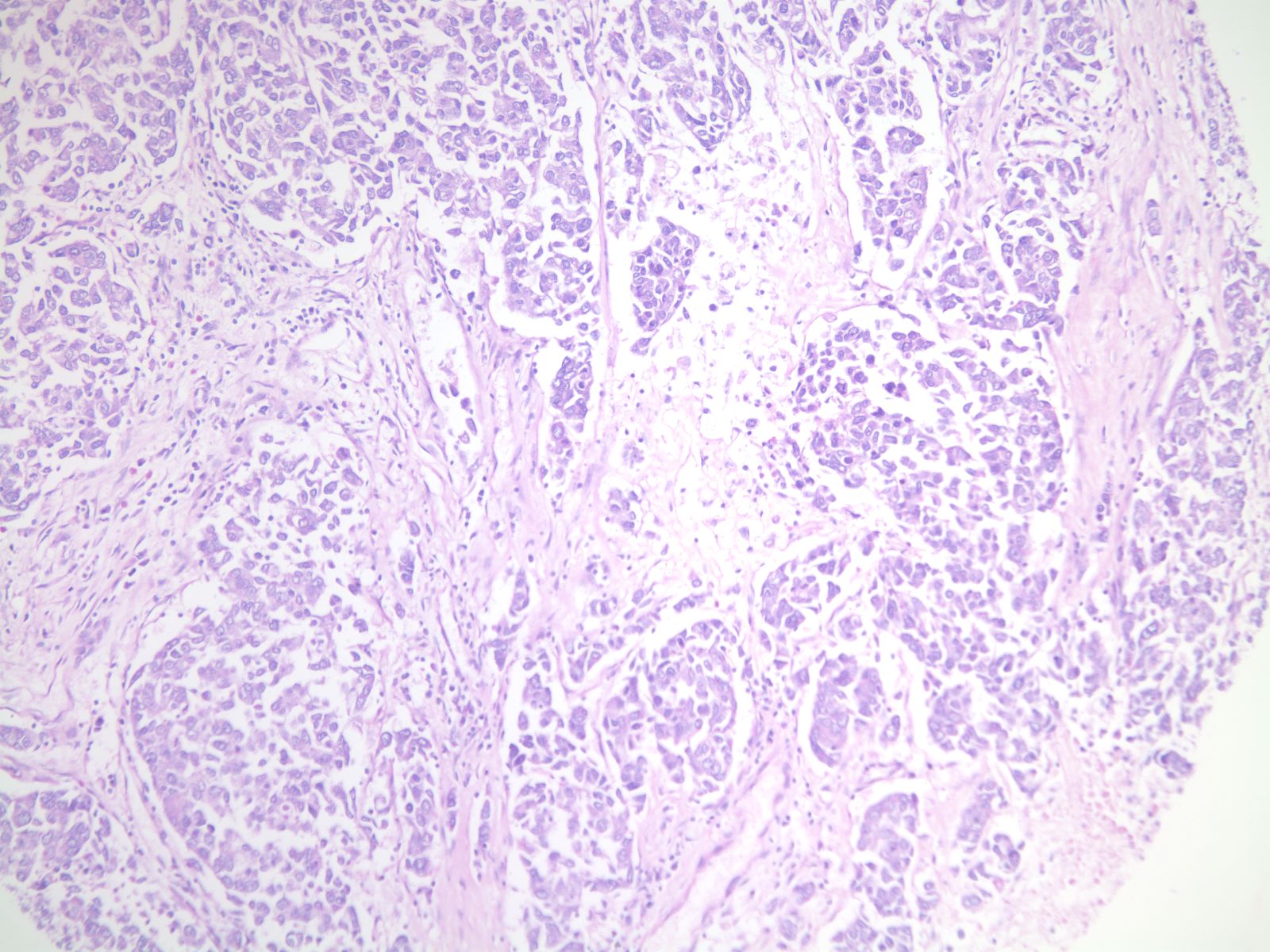
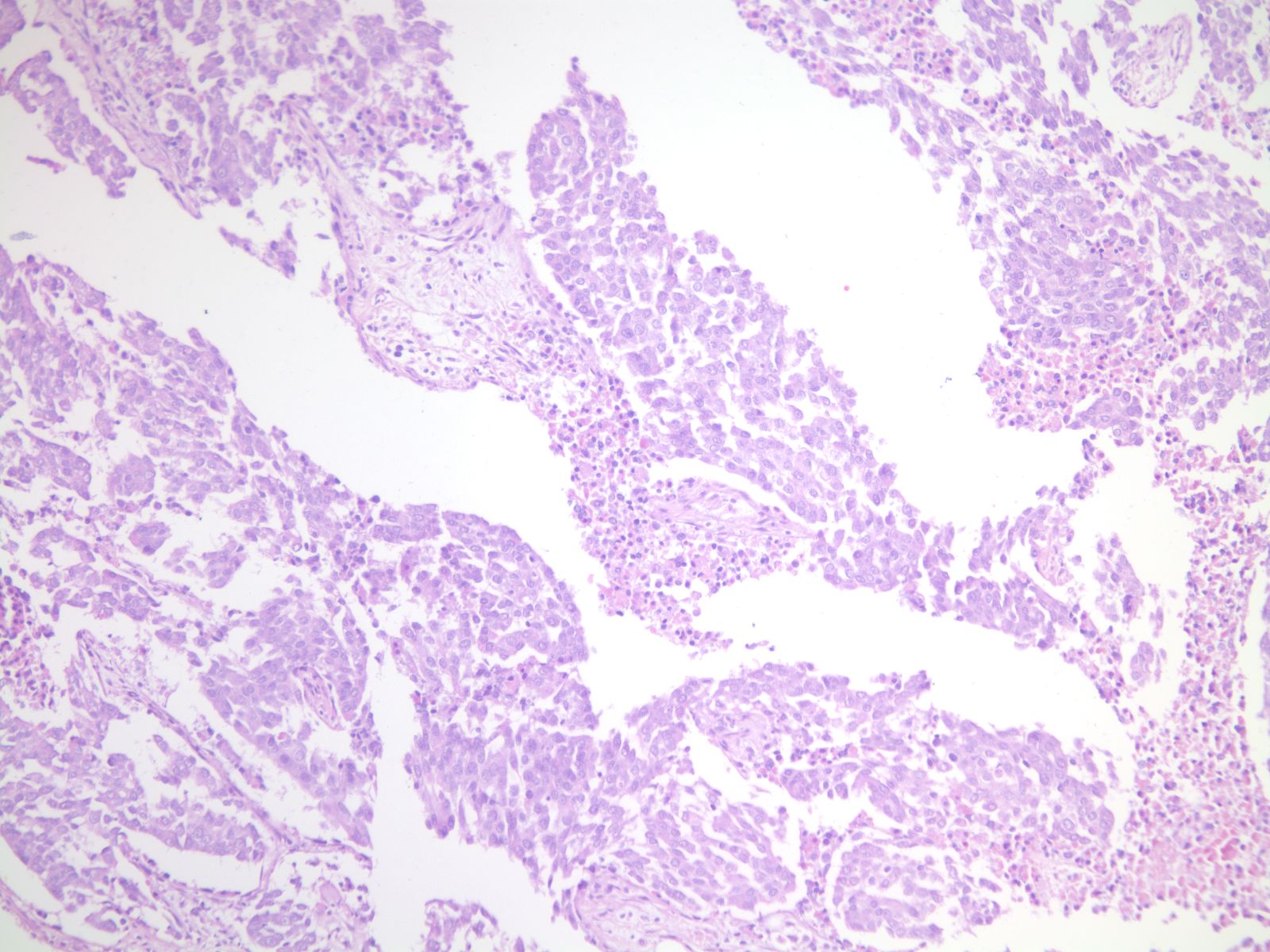
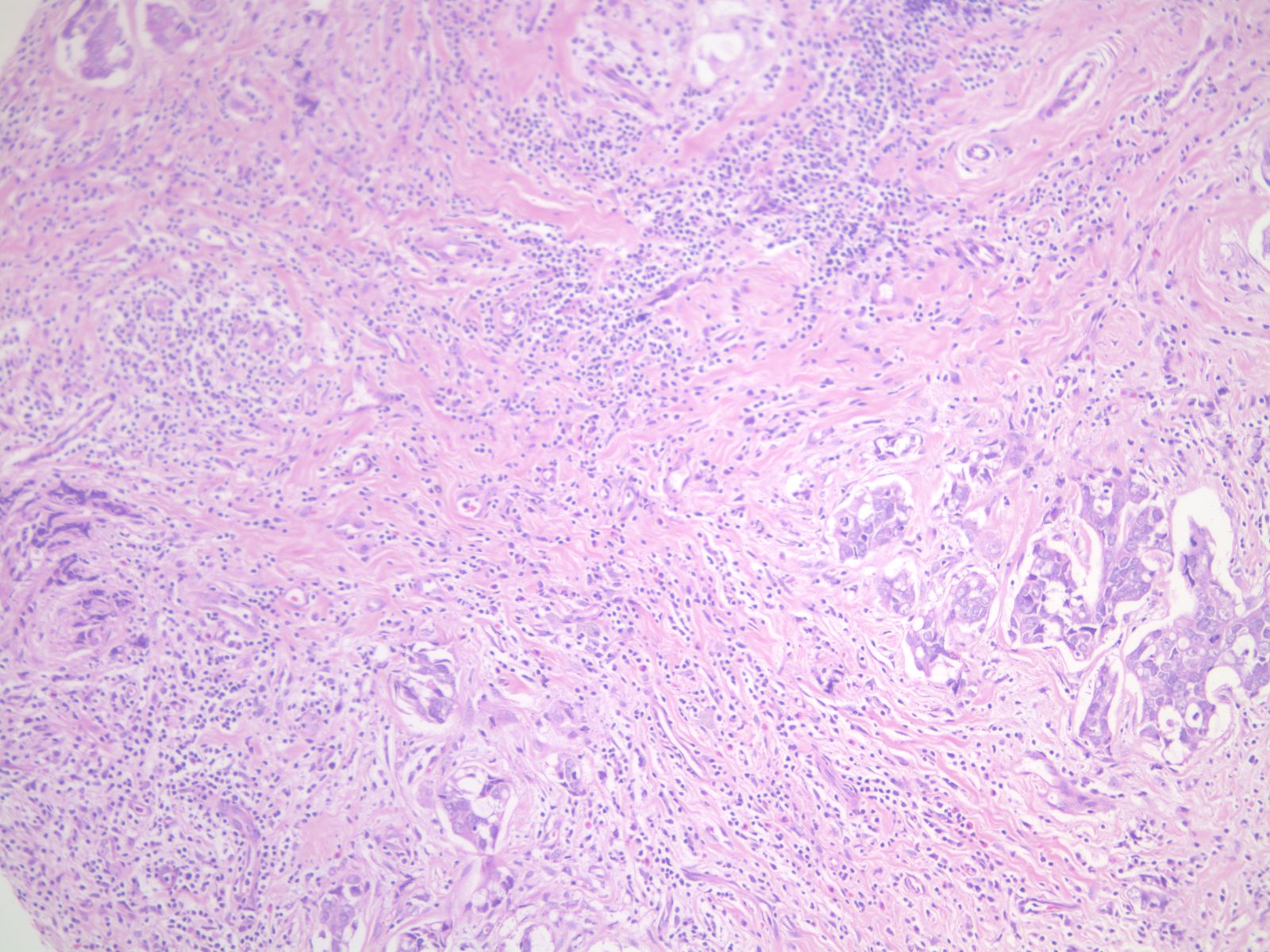
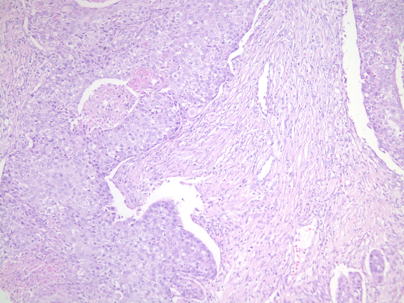
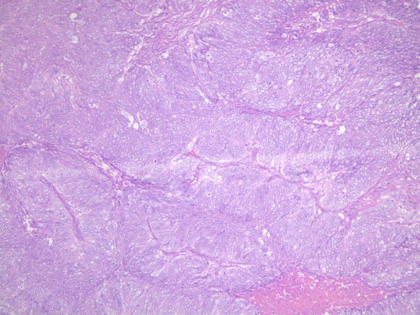
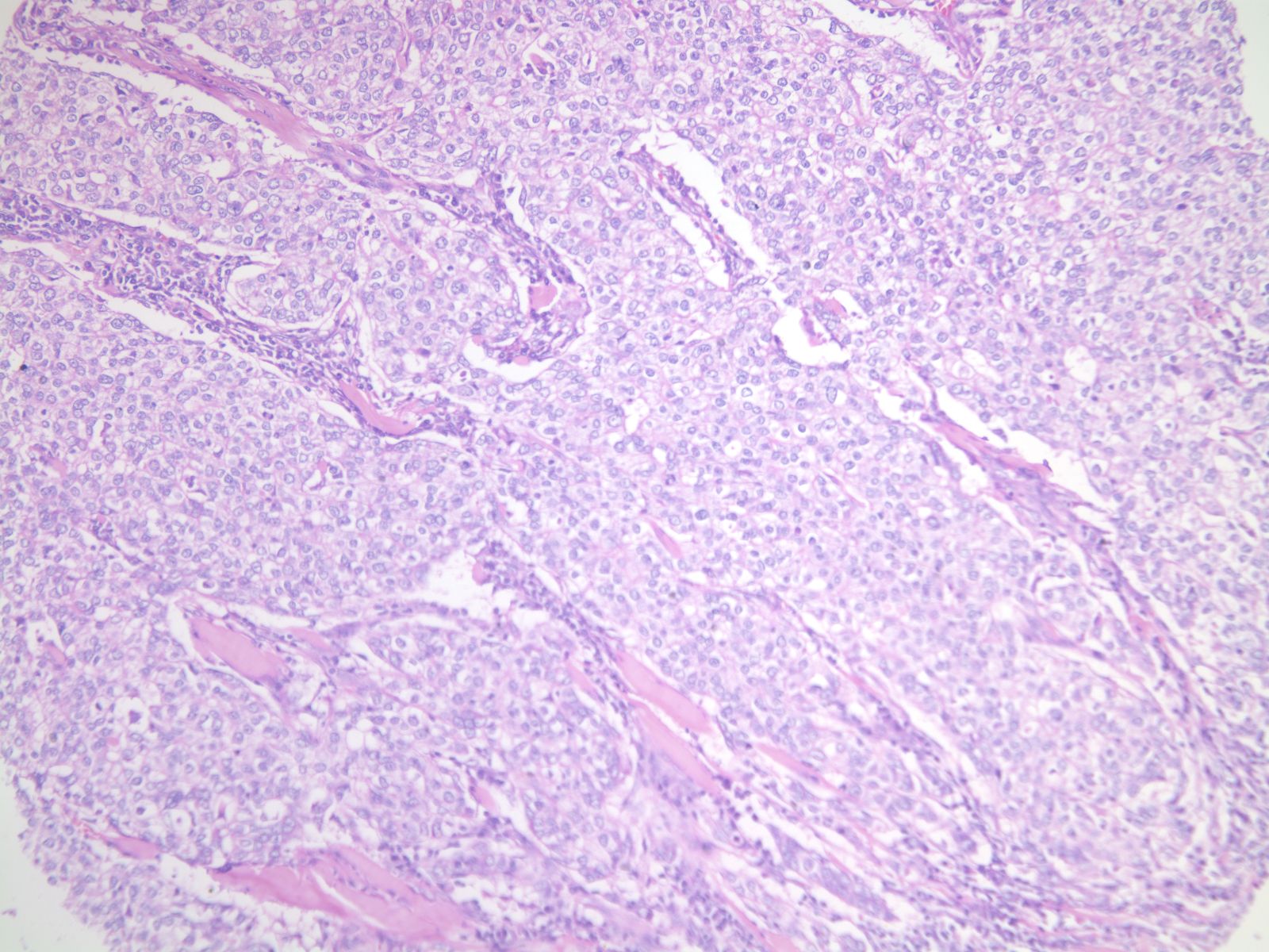
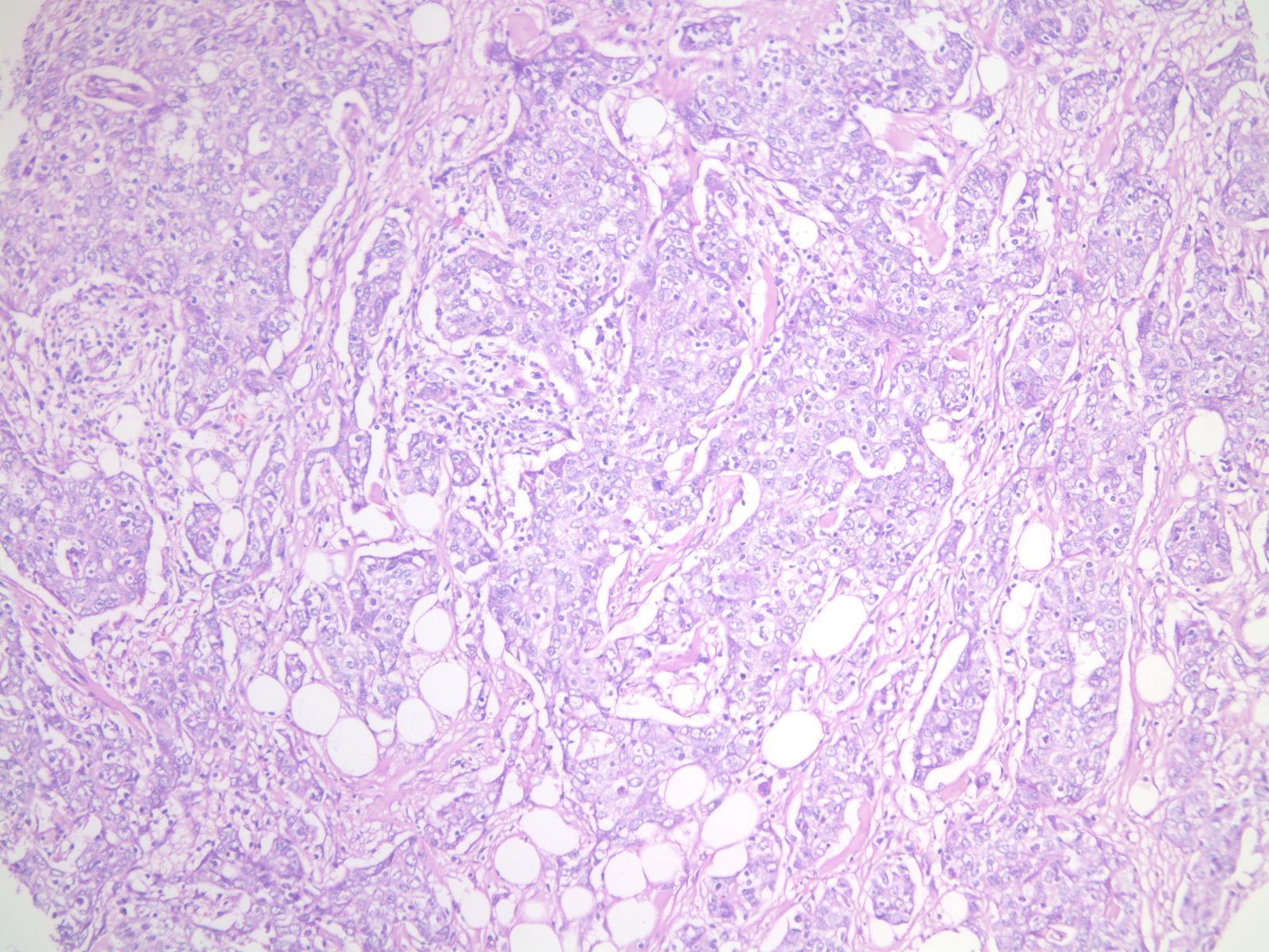
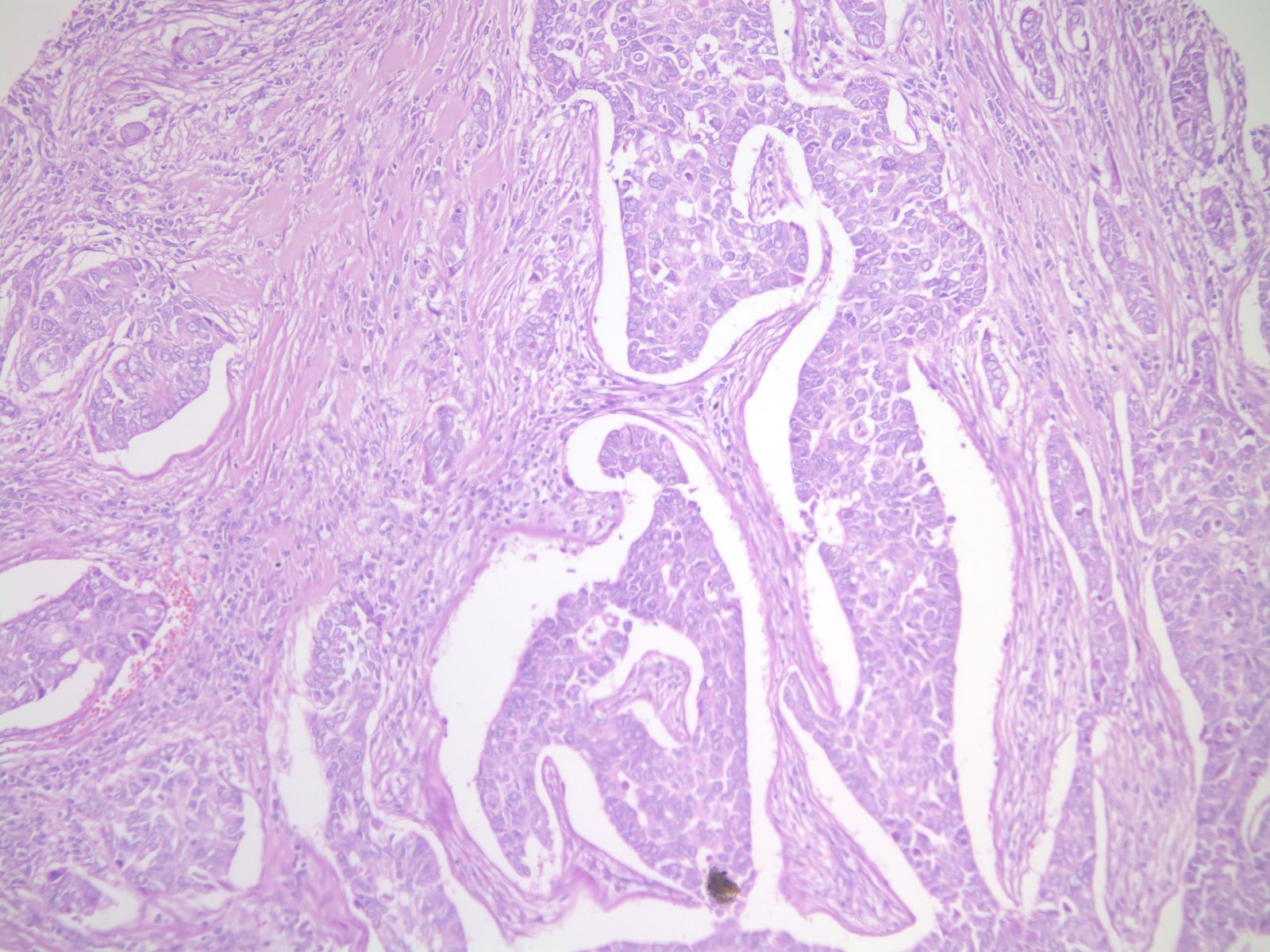
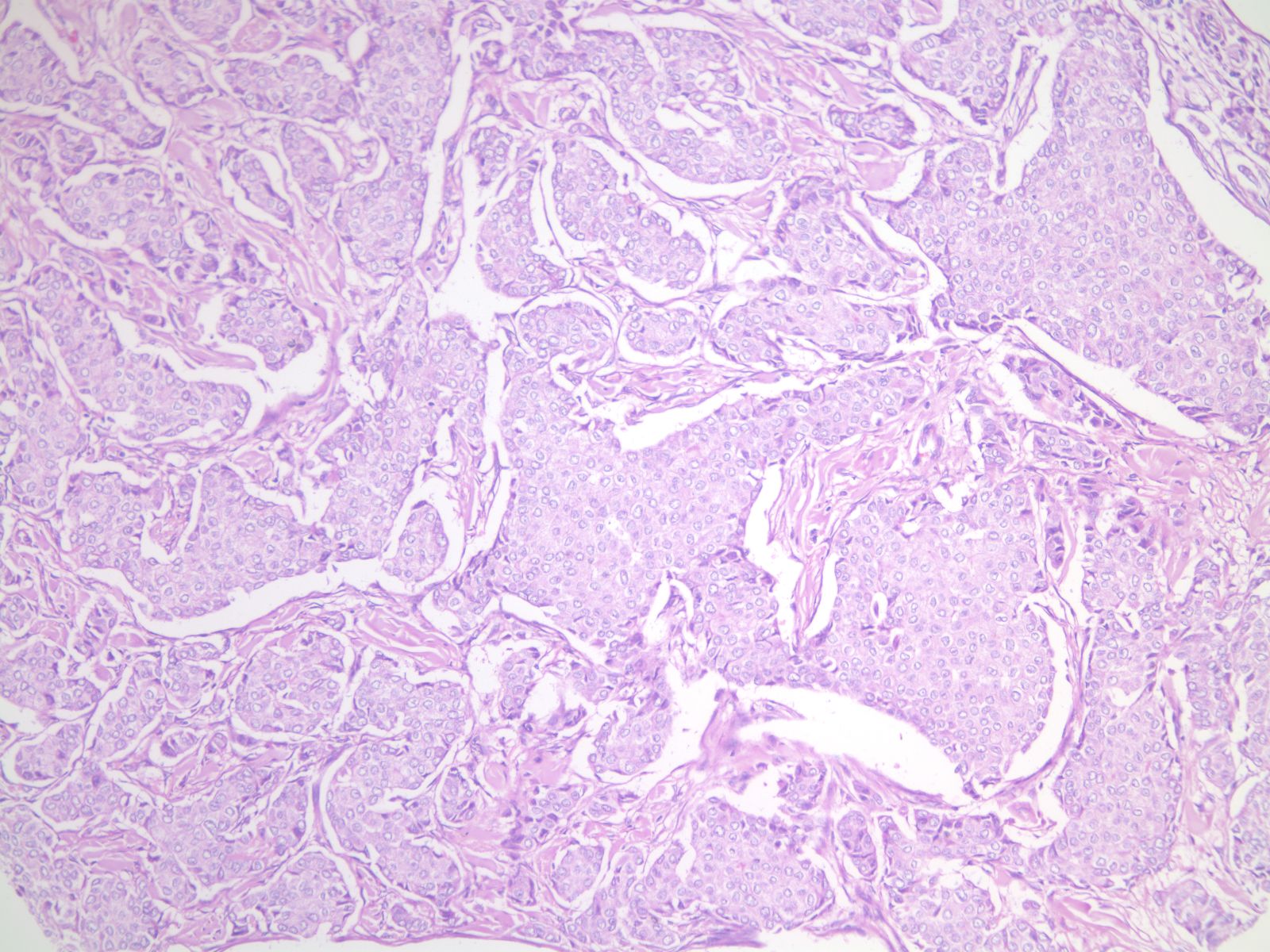
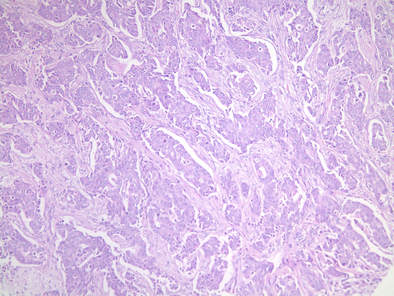
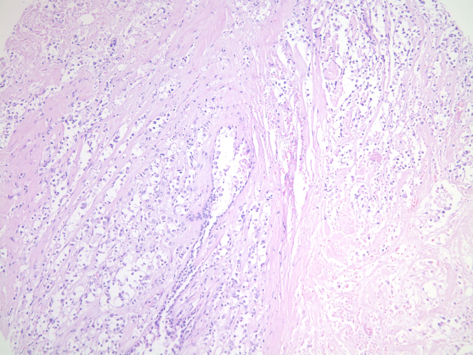
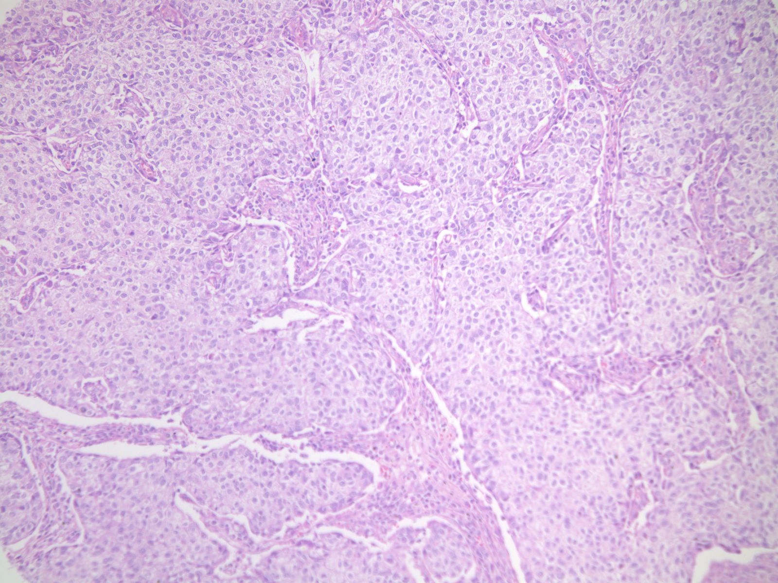
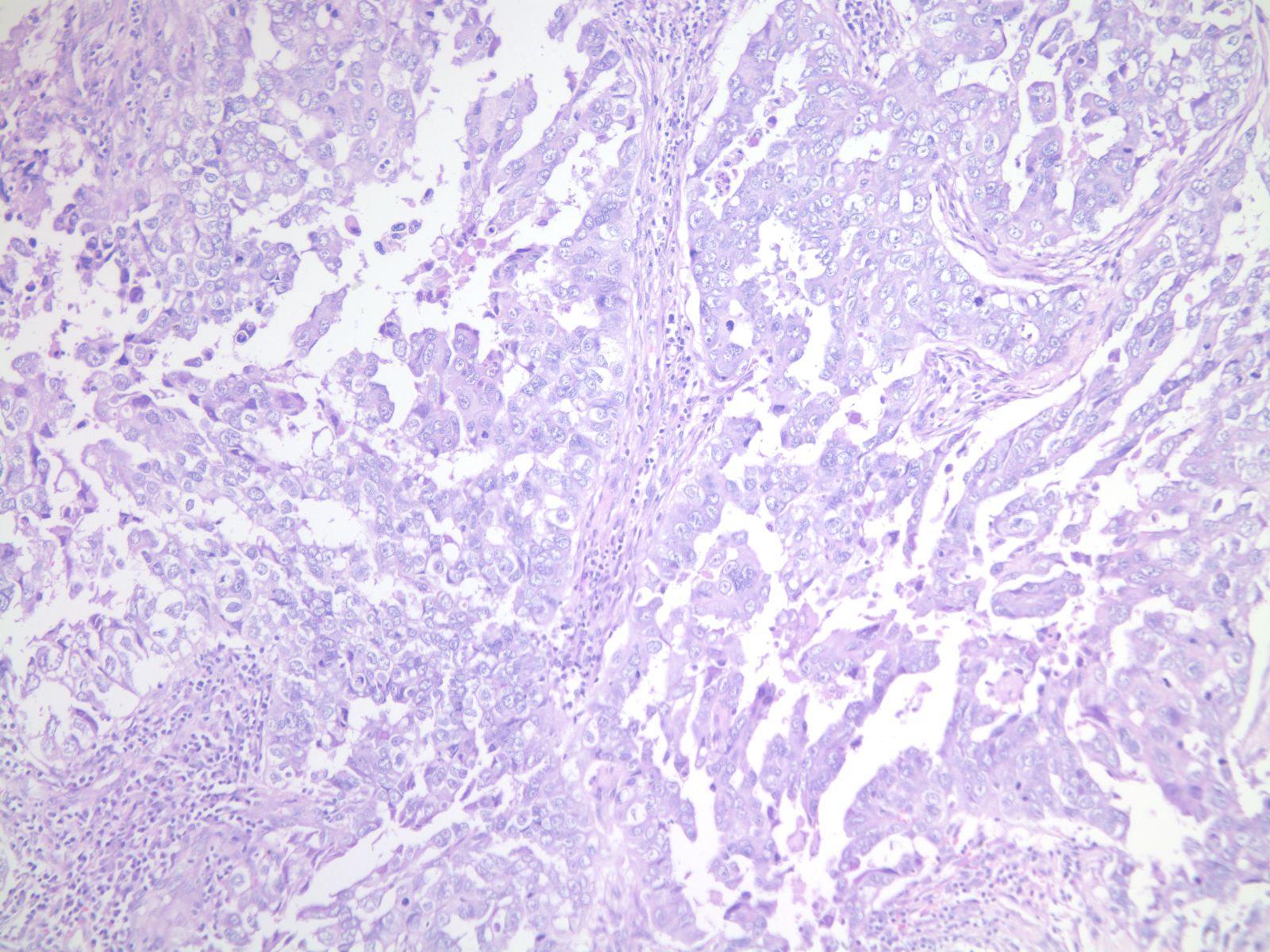
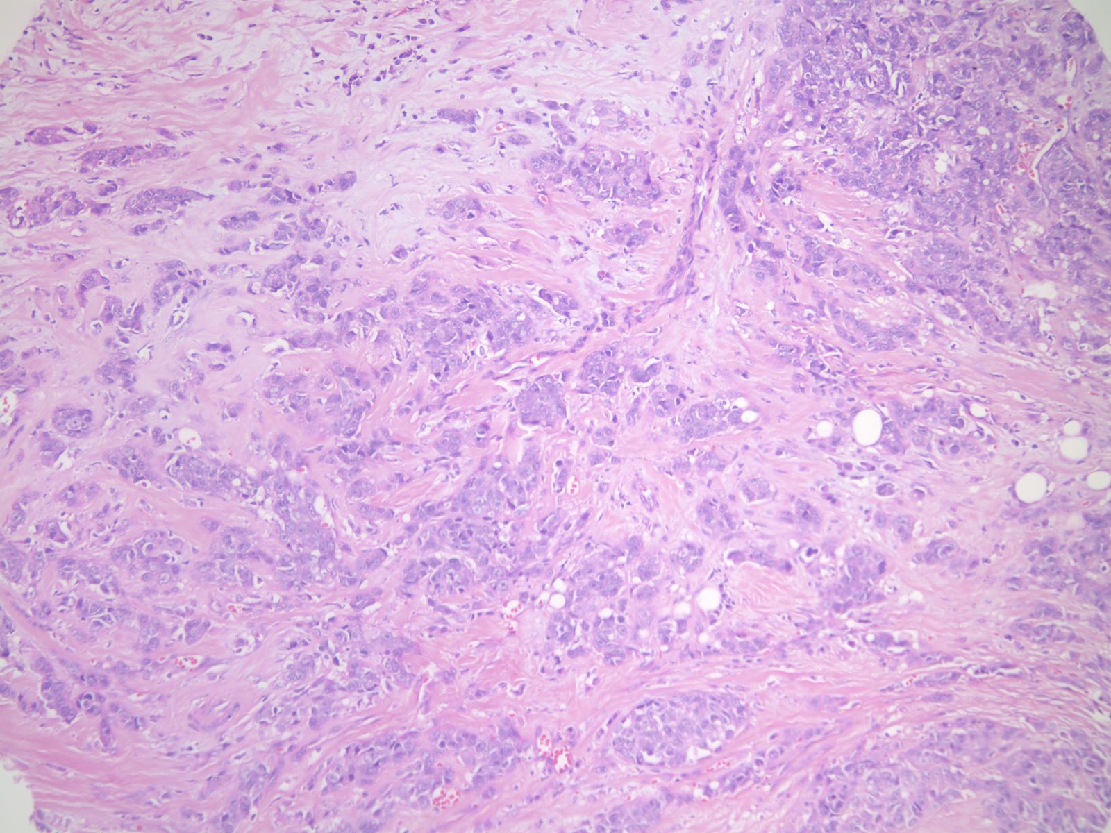
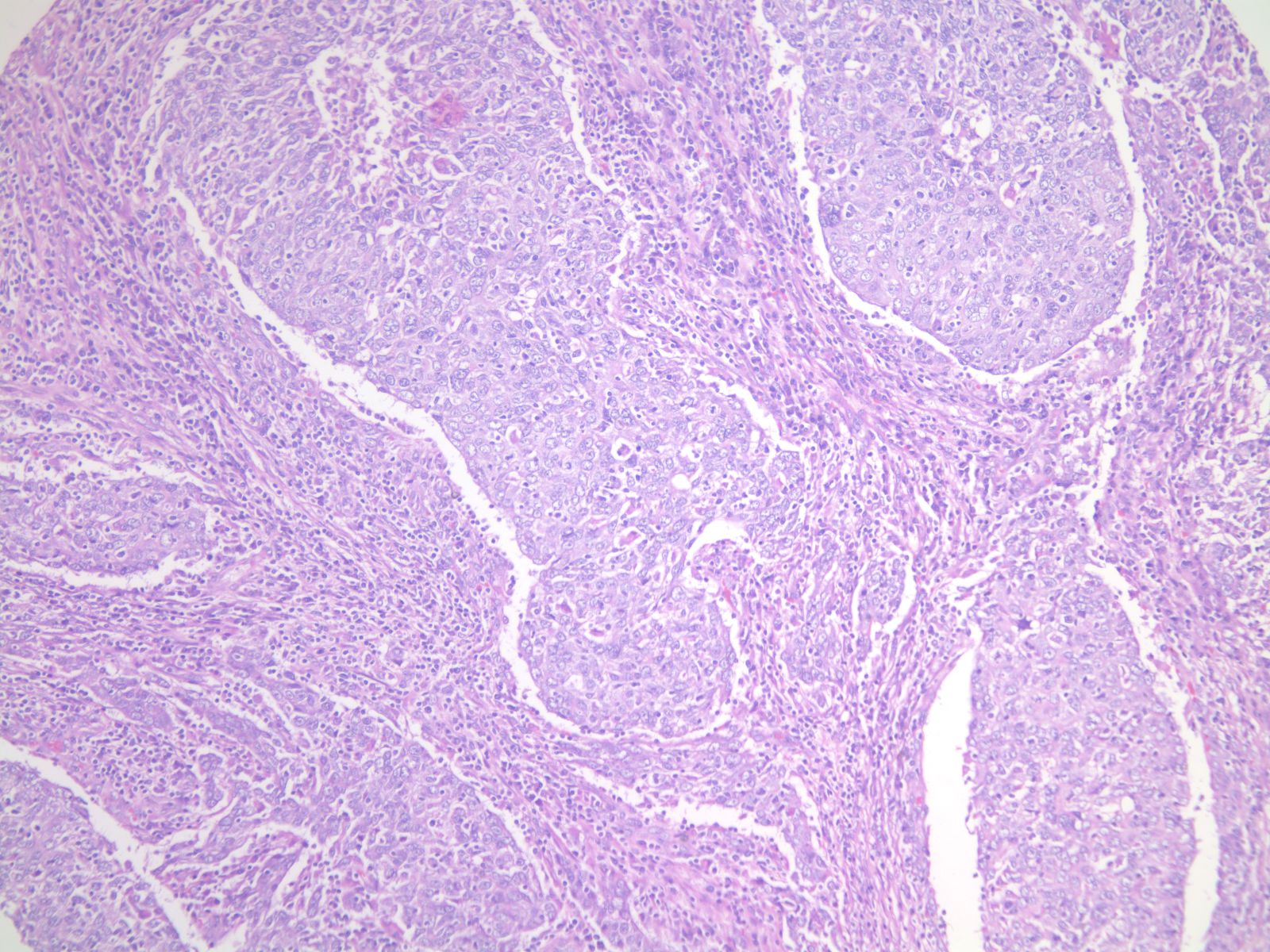
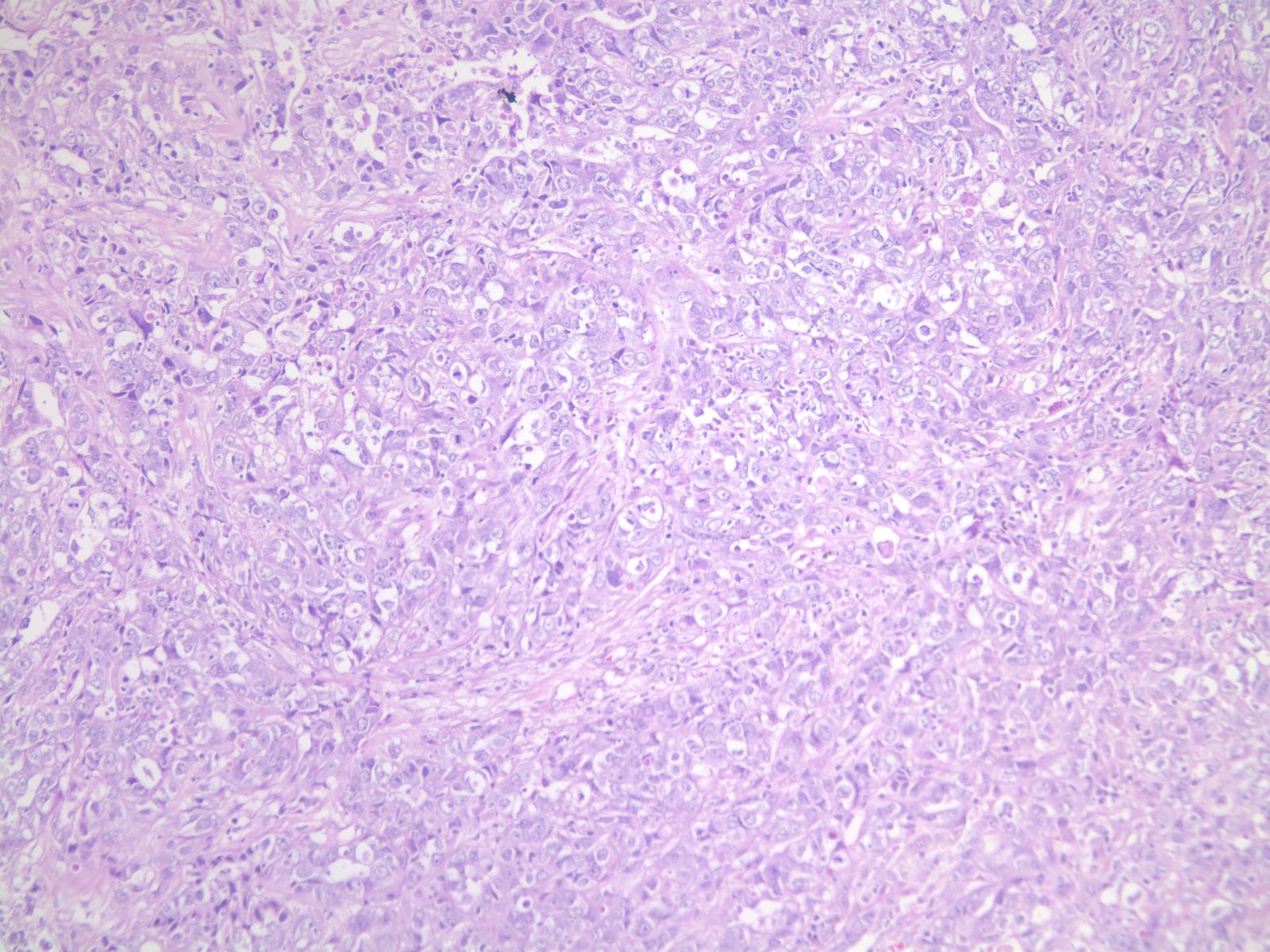
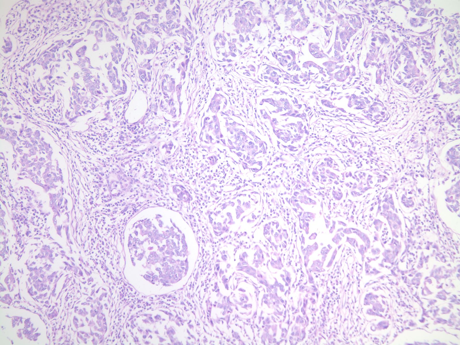
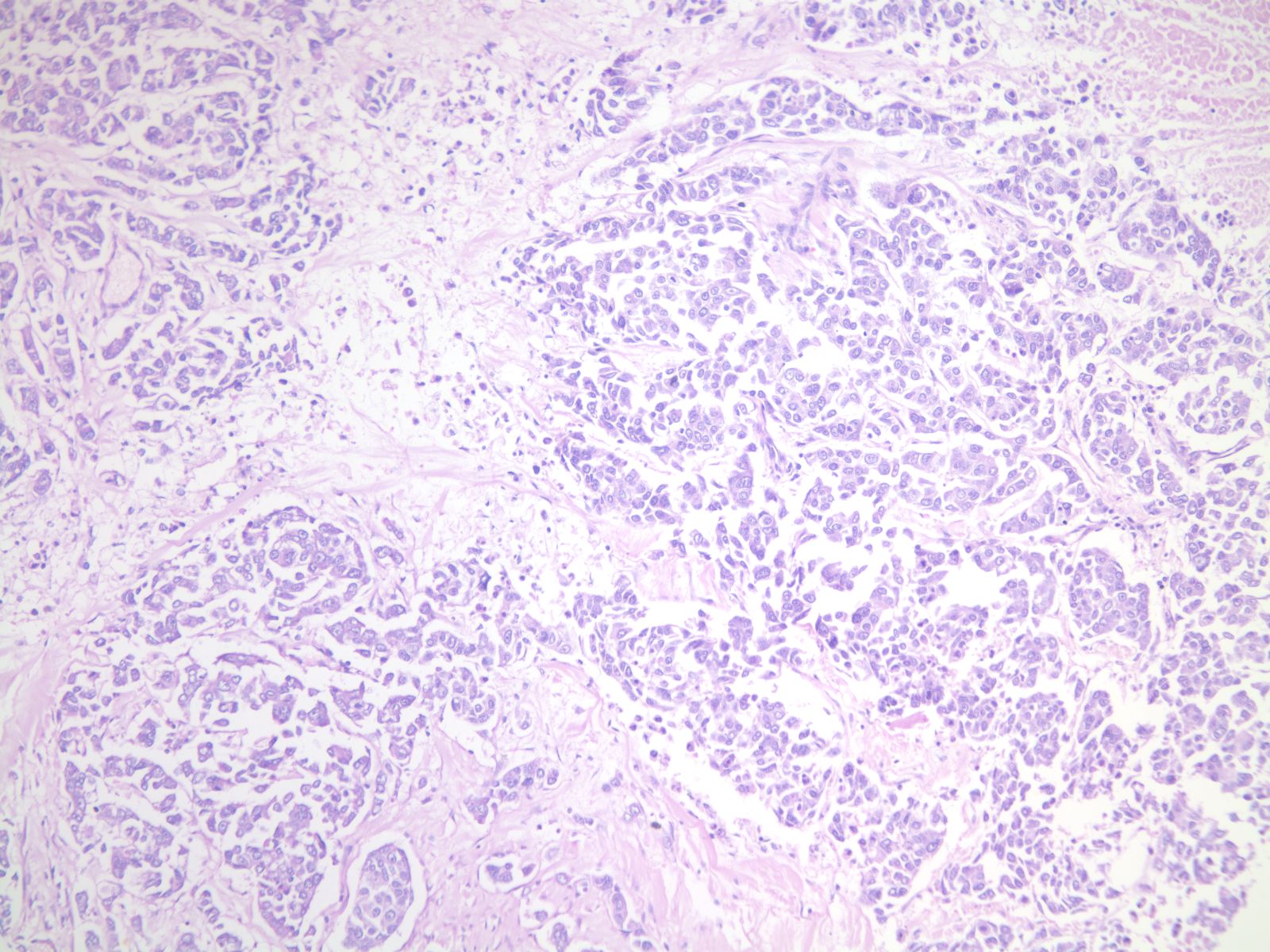
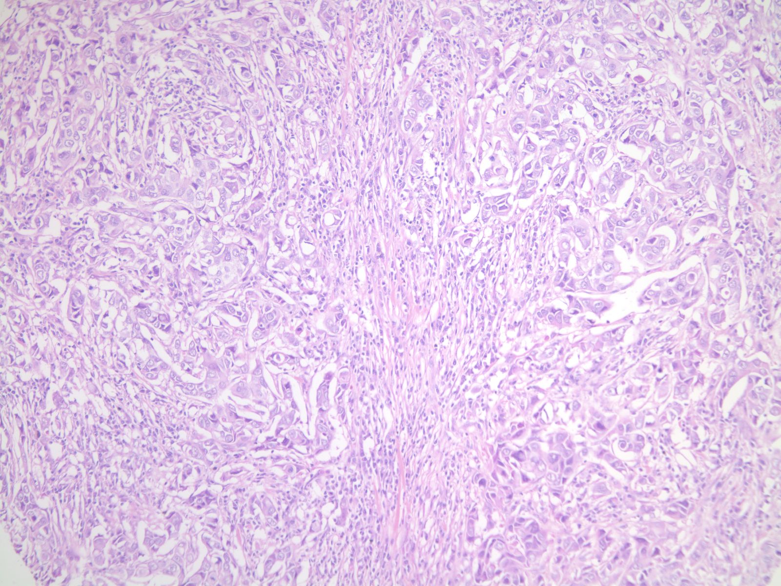
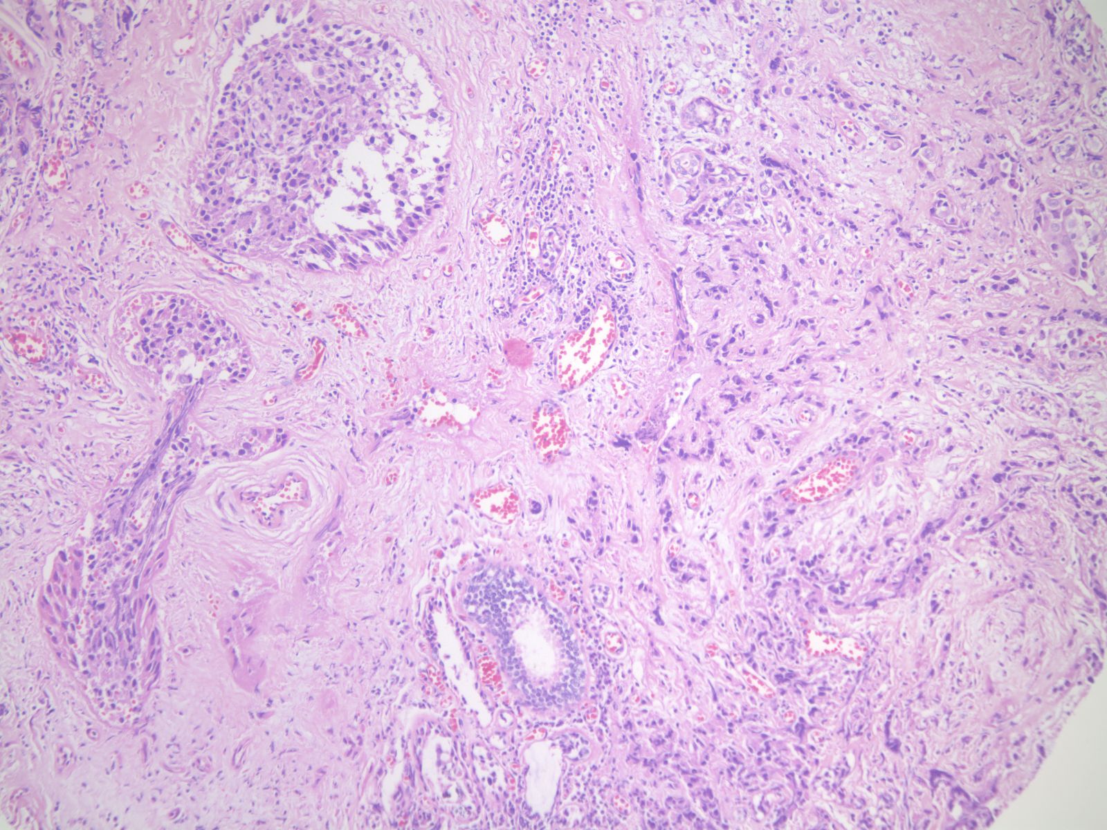
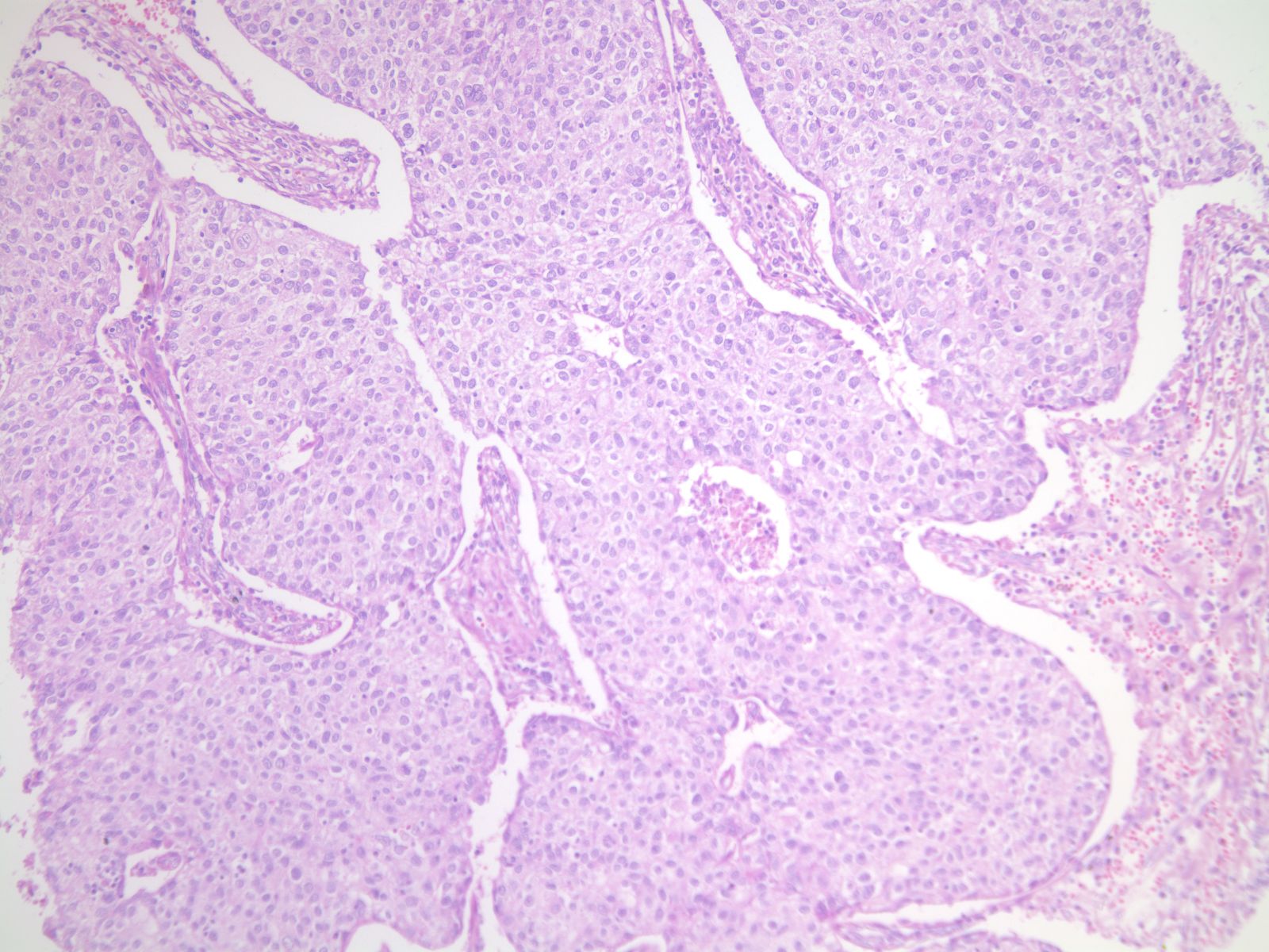
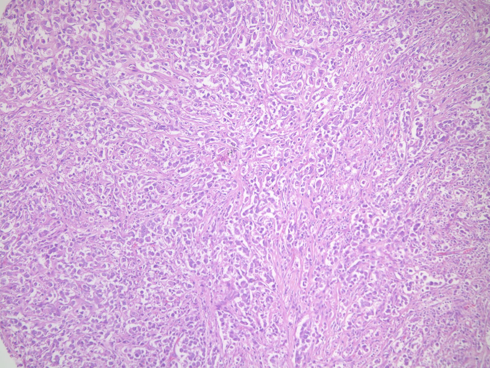
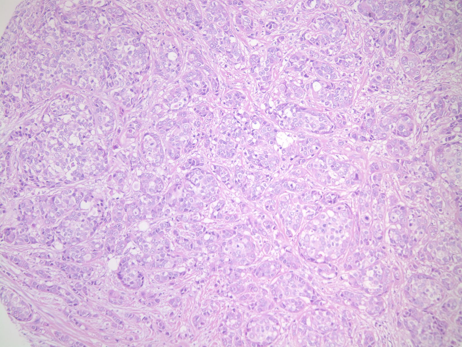
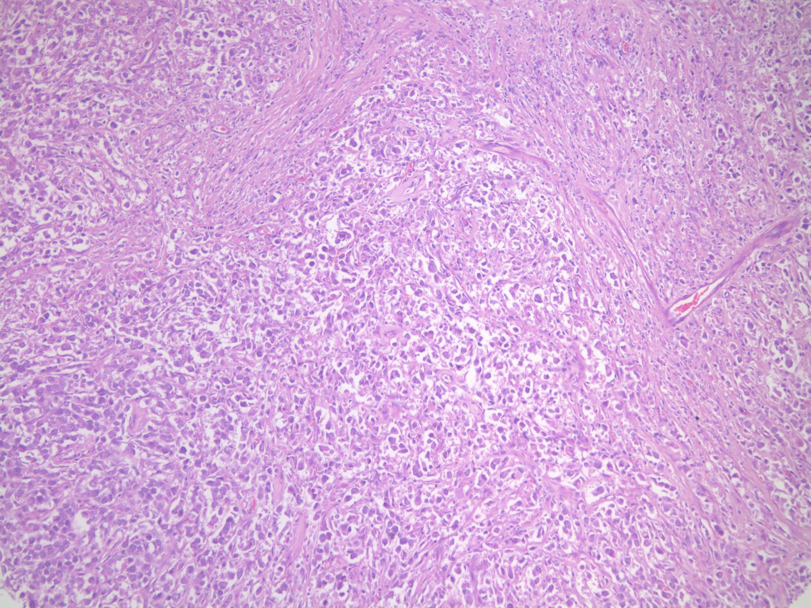
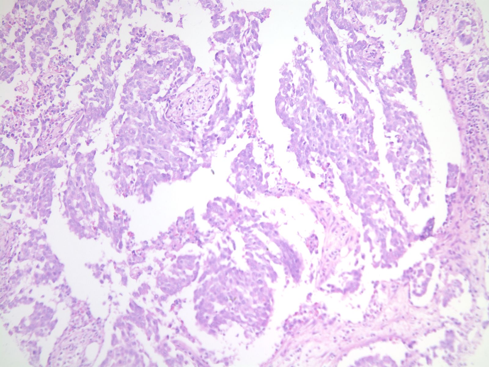
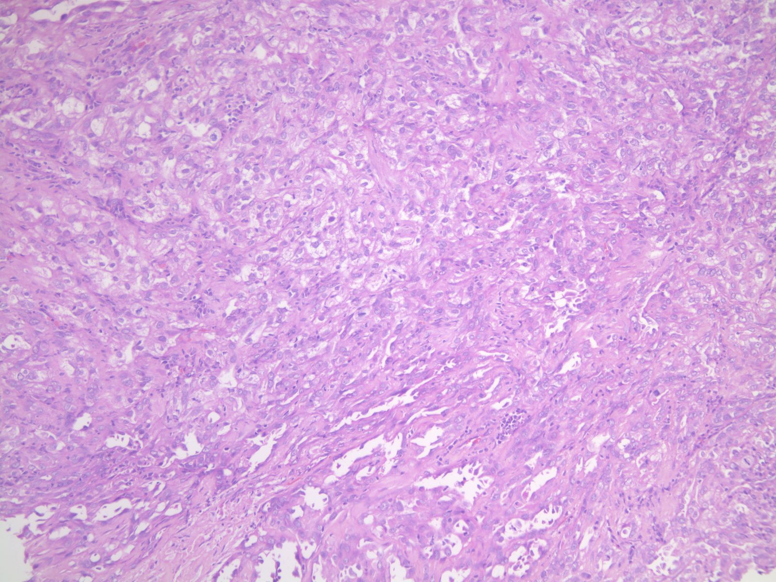
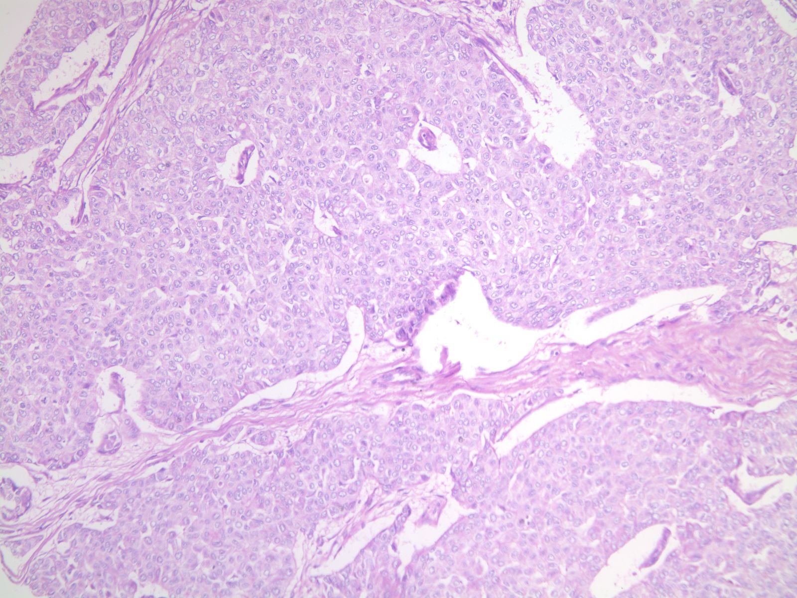
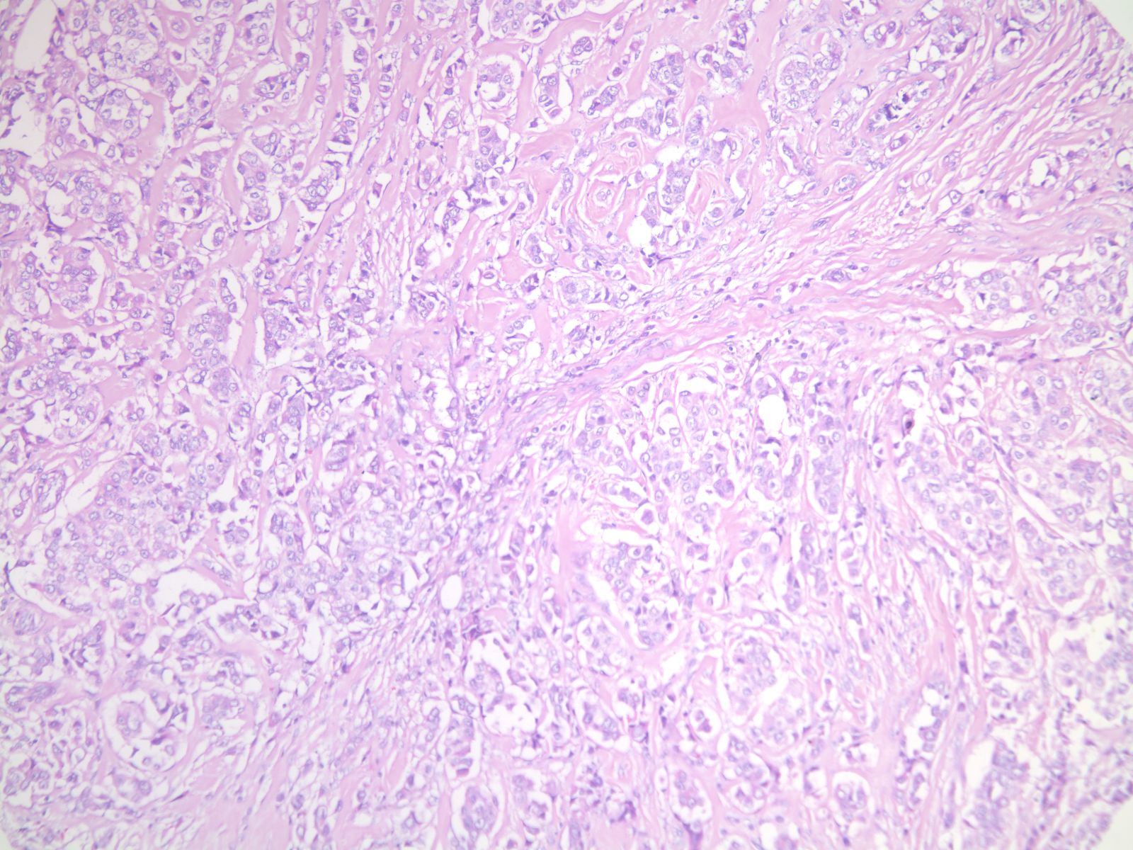
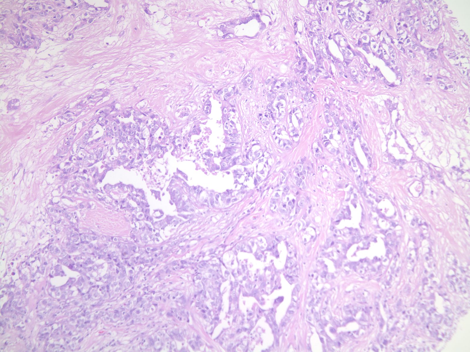
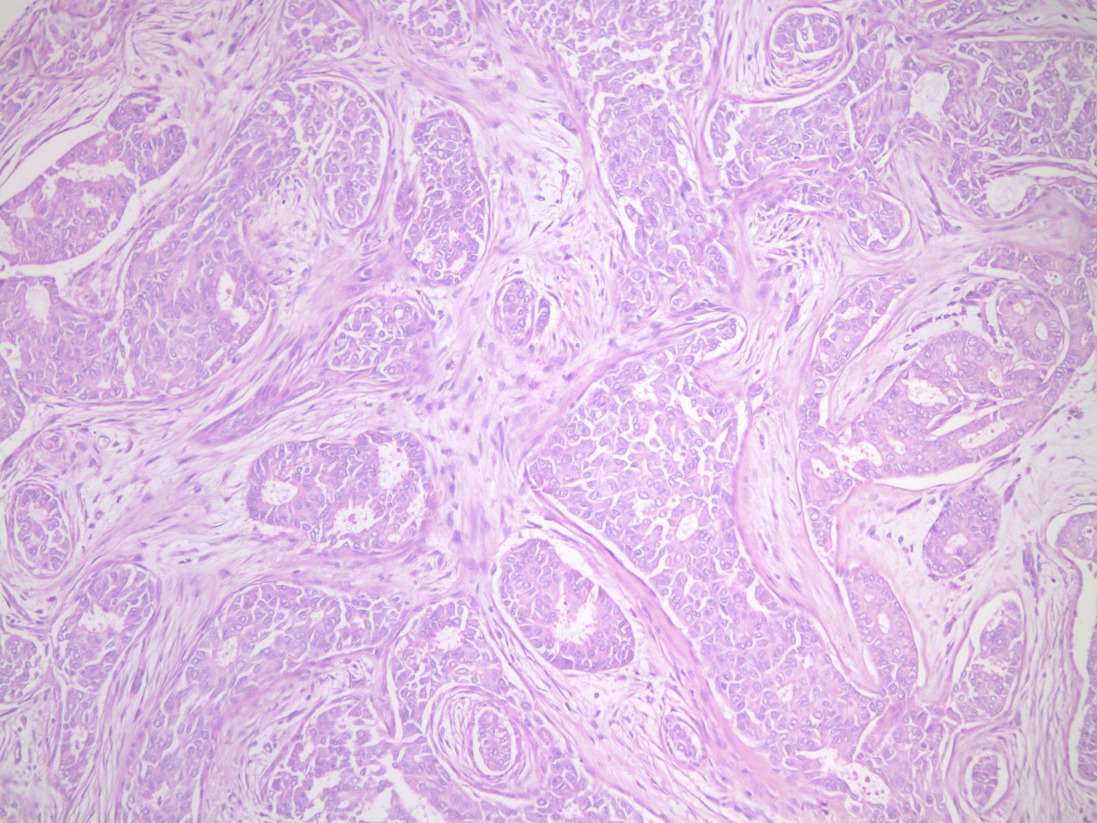
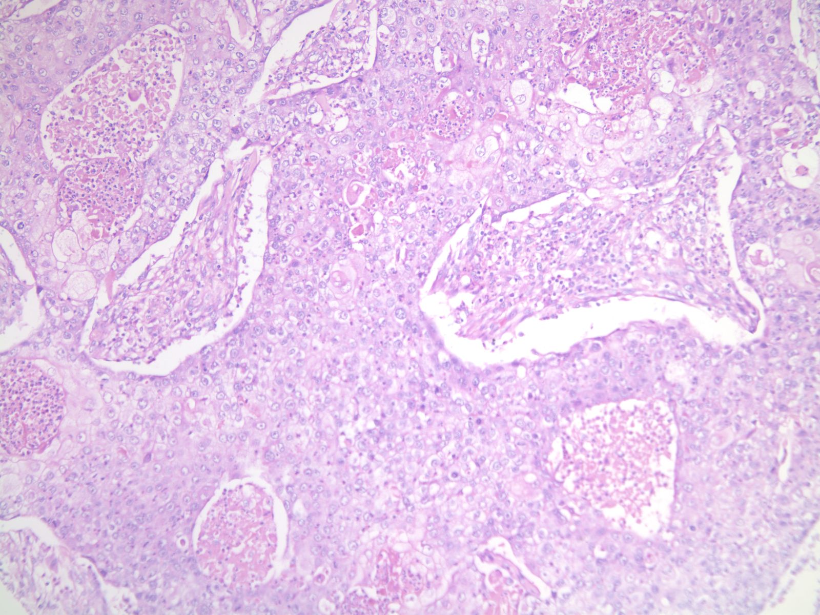
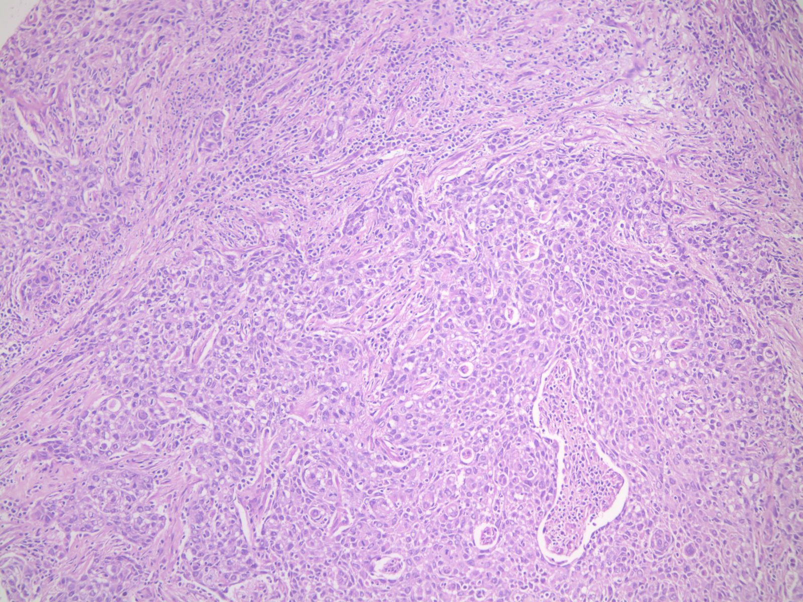
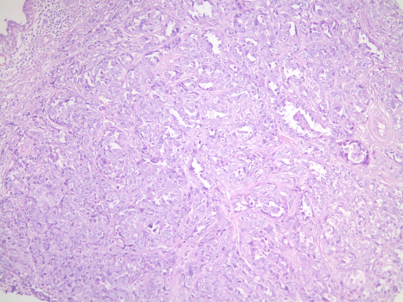
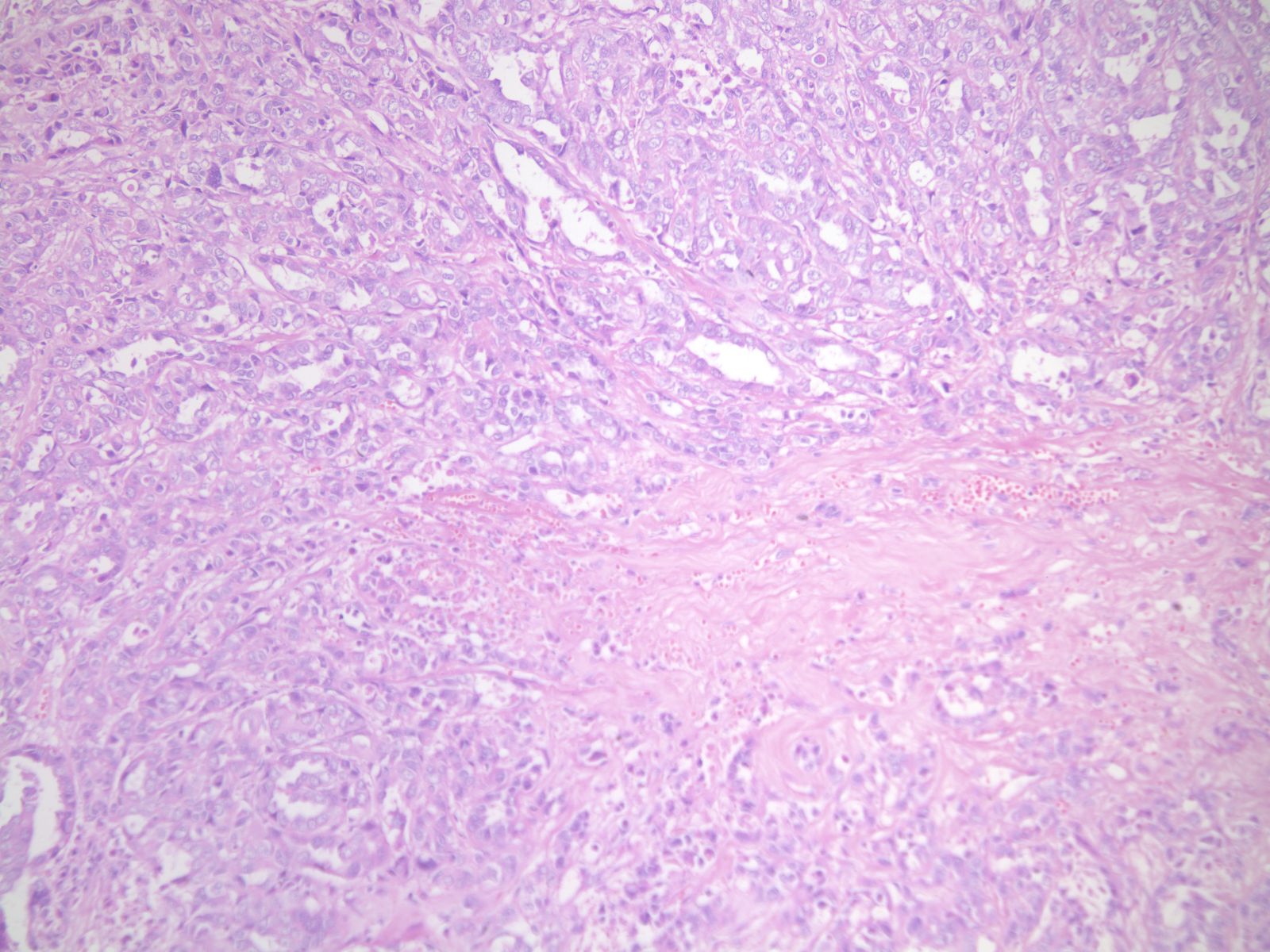
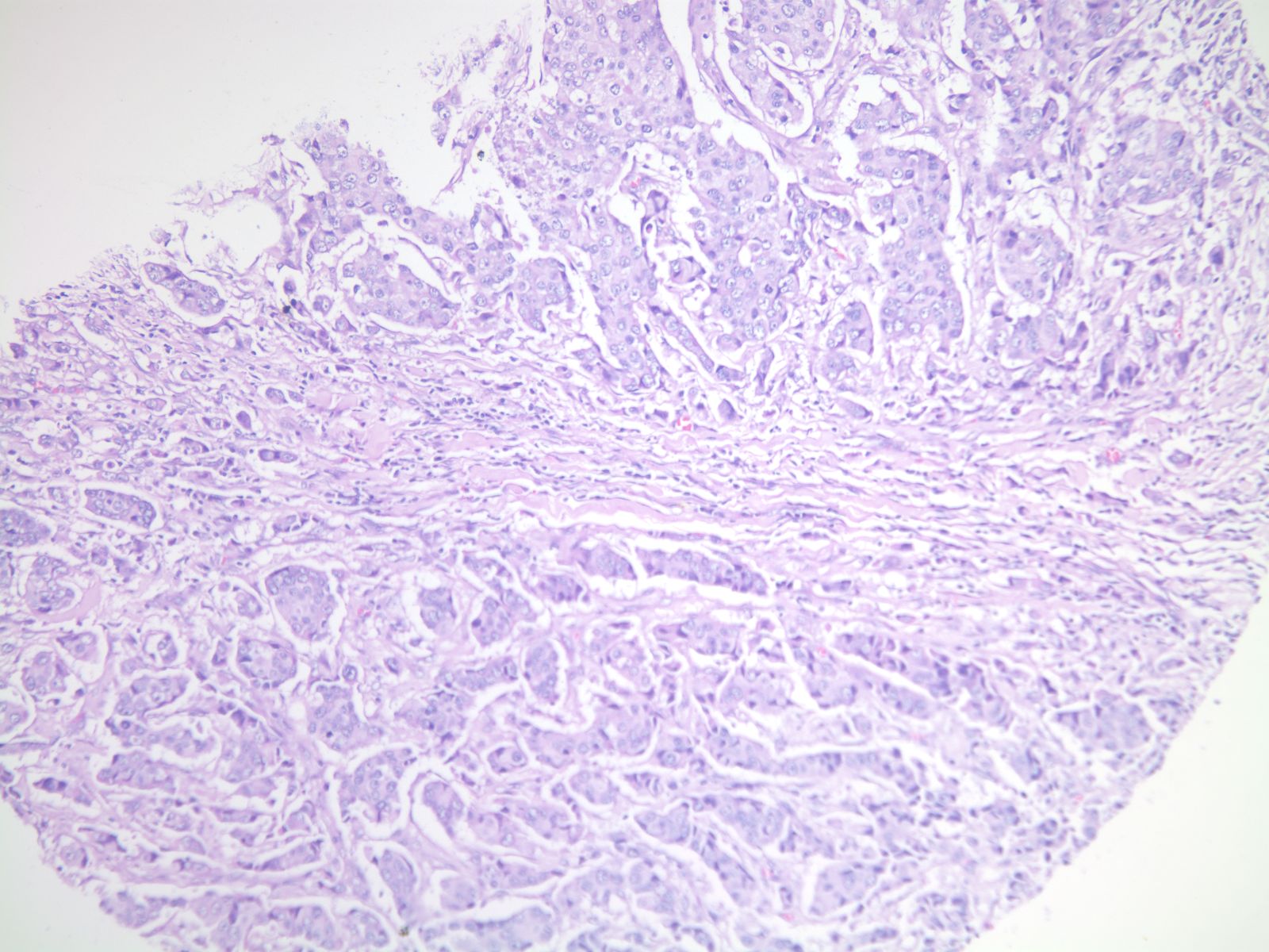
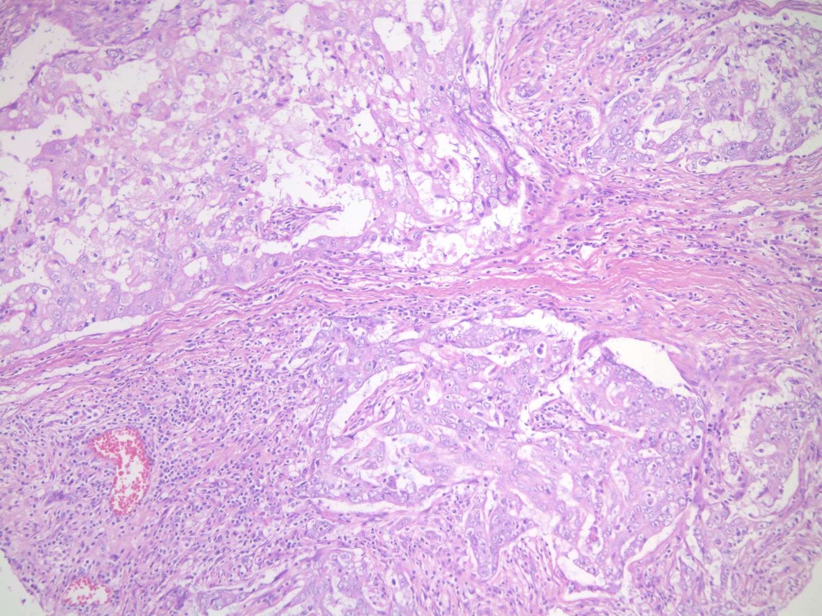
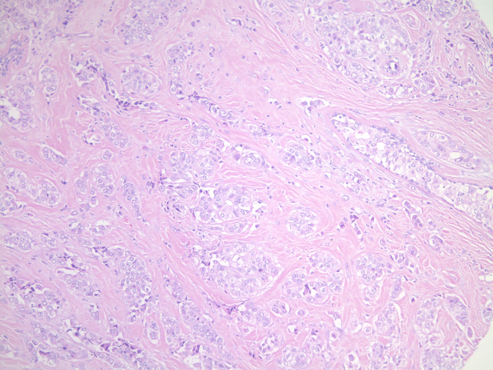
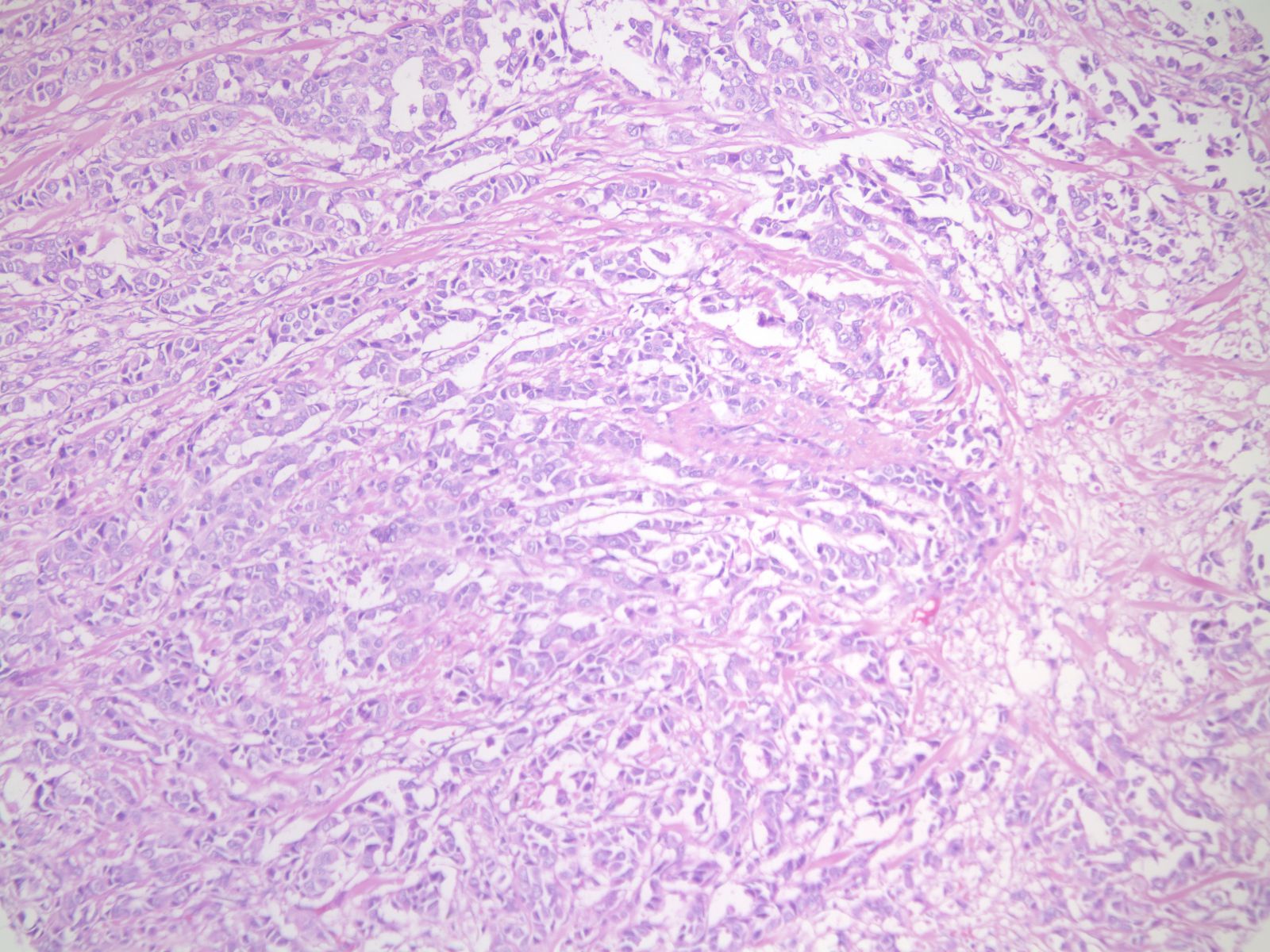
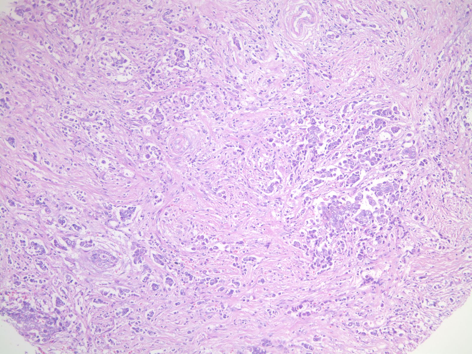
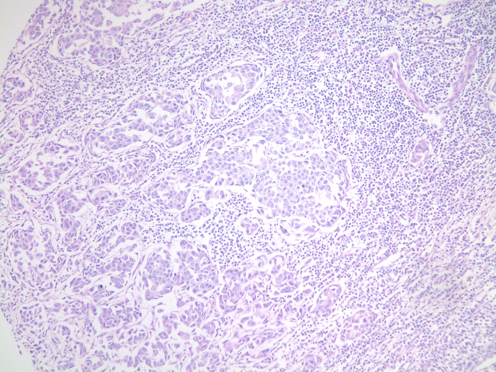
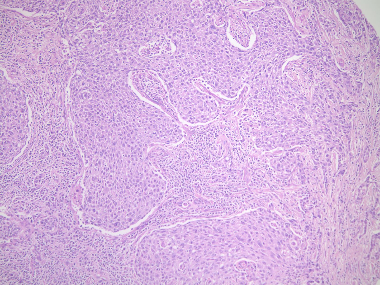
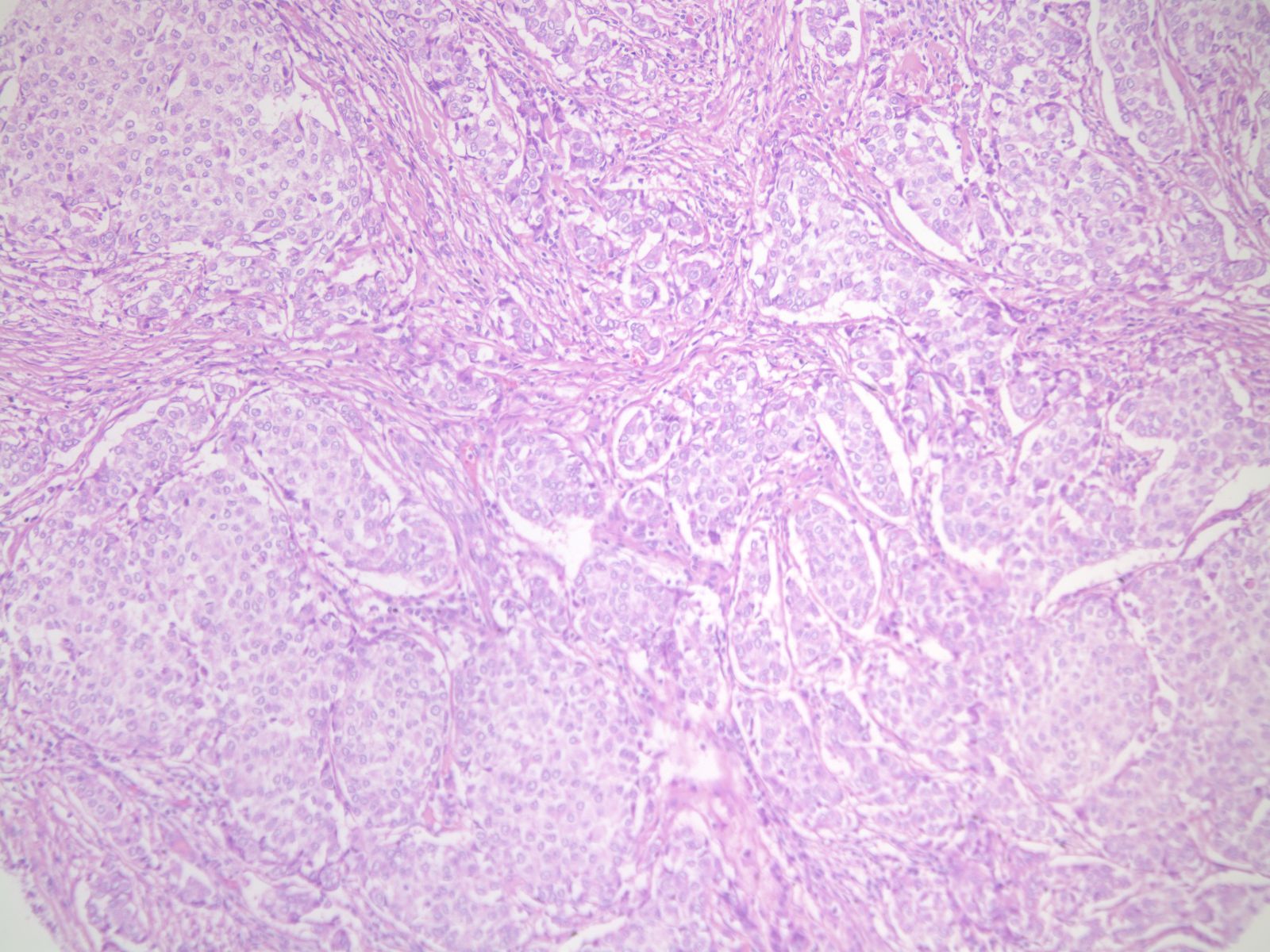
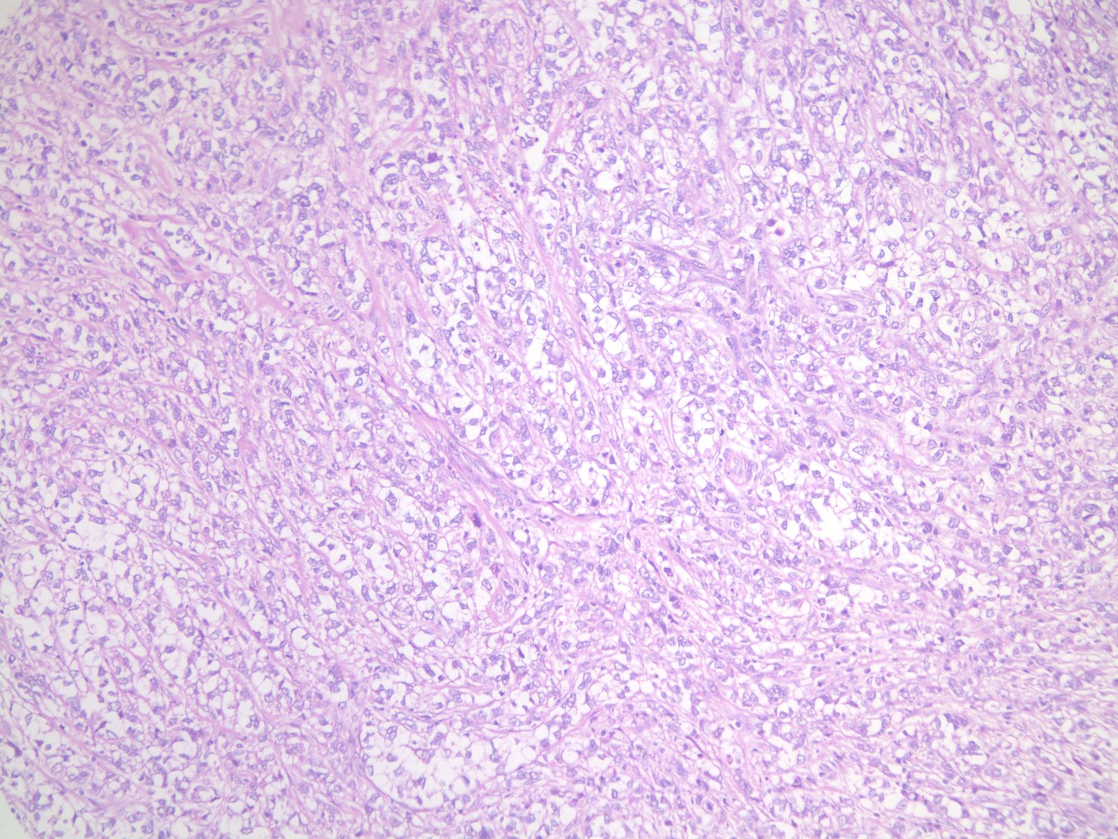
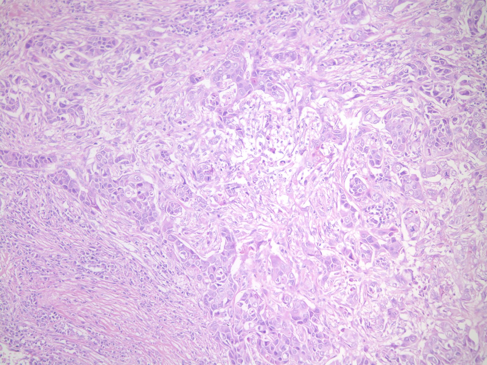
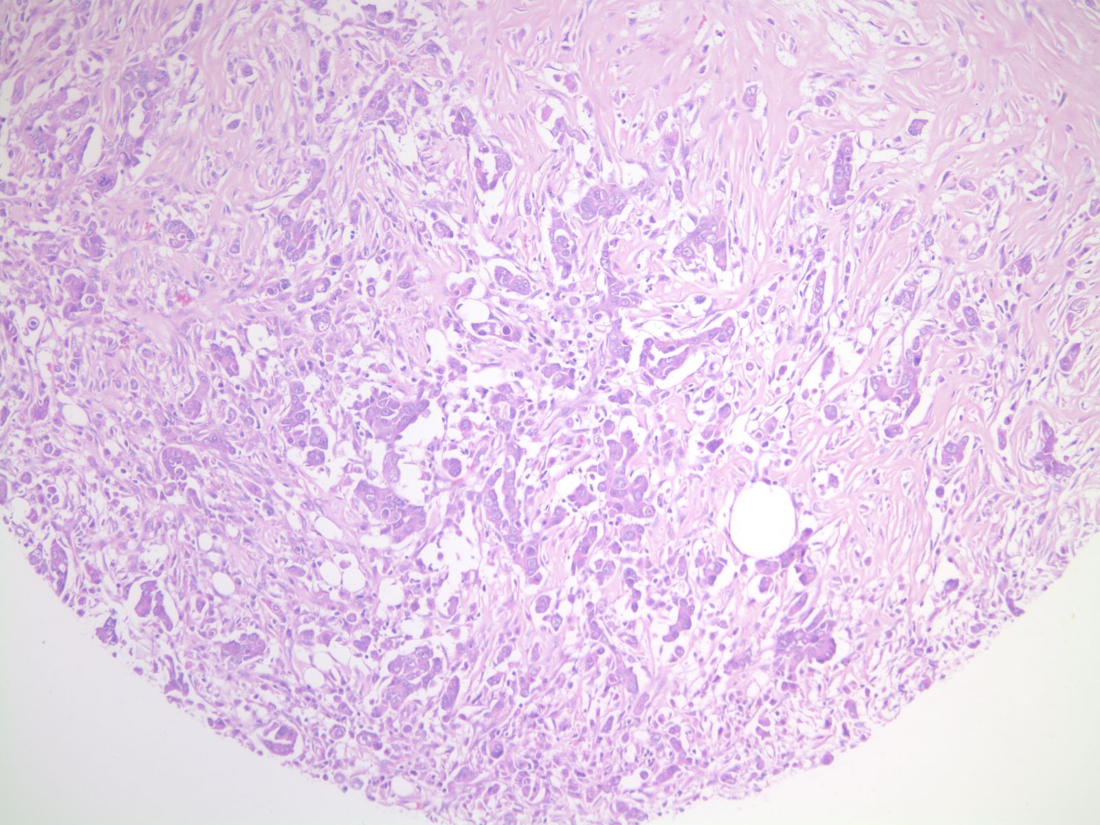
Breast cancer tissue array without expressions of ER, PR, HER2 (triple negative), set 1, 96 cores, 48 cases containing at least five control cases with various levels of ER, PR, HER2, and 43 cases with no detectable expressions of these three markers. Since all the triple negative cases were selected out based on TMA screening, the IHC results only reflect the phenotypic status of individual cores tested at certain cutting level. We can not exclude the possibility that, at a late cutting level, a small fraction of the cores may be positive for one or more of these three markers.
Price per slide:
$627
Species:
Human
Cases:
48
Cores:
96
Core Size:
1.5mm
Core Thickness:
4um
Rows:
8
Columns:
12
Format:
Intended Usage:
For research use only. Designed for IHC or ISH based protein or RNA tissue profiling in ER, PR, HER2 triple negative breast cancers.

8
X
12
For illustration purpose only. Actual product may vary.
Notes:
All the tissues were fixed in 10% neutral buffered formalin for 24 hours and processed using identical SOPs. Sections were picked onto Superfrost Plus or APES coated Superfrost slides. They can be stored for use at 4C for up to six months from the date of shipment. There may be 5 to 10% of tissue core loss.
Bake at 60C for ~60 minutes before use. If antigen retrieving is needed, it is important to avoid direct-boiling and high pH or high strength antigen retrieving buffer. For availability of complimentary IHC data, please contact us at info@pantomics.com.
































































































bottom of page